You have no items in your shopping cart.
GSK3 alpha/beta Antibody
Description
Research Area
Images & Validation
−| Tested Applications | IHC, WB |
|---|---|
| Dilution Range | WB: 1-500-1-1000, IHC-P: 1-100-1-200 |
| Reactivity | Human, Mouse, Rat, Zebrafish |
Key Properties
−| Antibody Type | Primary Antibody |
|---|---|
| Host | Rabbit |
| Clonality | Polyclonal |
| Immunogen | KLH-conjugated synthetic peptide encompassing a sequence within the center region of human GSK3 alpha/beta. The exact sequence is proprietary. |
| Target | GSK3A; GSK3B |
| Purification | The antibody was purified by immunogen affinity chromatography. |
| Conjugation | Unconjugated |
Storage & Handling
−| Storage | Maintain refrigerated at 2-8°C for up to 2 weeks. For long term storage store at -20°C in small aliquots to prevent freeze-thaw cycles. |
|---|---|
| Form/Appearance | Liquid in 0.42% Potassium phosphate, 0.87% Sodium chloride, pH 7.3, 30% glycerol, and 0.01% sodium azide. |
| Disclaimer | For research use only |
Alternative Names
−Similar Products
−Phospho-GSK3 Alpha + Beta (Tyr279+Tyr216) Rabbit Polyclonal Antibody [orb783420]
WB
Bovine, Canine, Equine, Gallus, Guinea pig, Porcine, Rabbit, Sheep
Human, Mouse, Rat
Rabbit
Polyclonal
Unconjugated
50 μl, 100 μl, 200 μlPhospho-GSK3 Alpha + Beta (Tyr279+Tyr216) Recombinant Rabbit Monoclonal Antibody [orb783424]
ICC, IF, IHC-Fr, IHC-P, WB
Mouse, Rat
Human, Mouse, Rat
Rabbit
Recombinant
Unconjugated
50 μl, 100 μlGSK3 Alpha + Beta Rabbit Polyclonal Antibody [orb157399]
IF, IHC-Fr, IHC-P
Canine, Gallus, Porcine, Rabbit
Human, Mouse, Rat
Rabbit
Polyclonal
Unconjugated
50 μl, 100 μl, 200 μlGSK3 alpha/beta (Phospho-Y279/216) Antibody [orb216120]
IHC, WB
Human, Mouse, Rat, Zebrafish
Rabbit
Polyclonal
Unconjugated
100 μl, 50 μl, 200 μl, 30 μlGSK3 alpha/beta (pY279/216) Antibody [orb2650987]
IHC, WB
Human, Mouse, Rat, Zebrafish
Rabbit
Polyclonal
Unconjugated
50 μl

Quality Guarantee
Explore bioreagents carefree to elevate your research. All our products are rigorously tested for performance. If a product does not perform as described on its datasheet, our scientific support team will provide expert troubleshooting, a prompt replacement, or a refund. For full details, please see our Terms & Conditions and Buying Guide. Contact us at support@biorbyt.com.

Western blot analysis of GSK3 alpha/beta expression in 293T (A), A549 (B), Hela (C), mouse brain (D), rat brain (E) whole cell lysates. (Predicted band size: 50; 46 kD; Observed band size: 51; 46 kD)

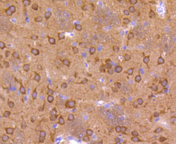
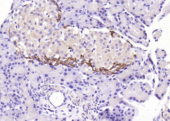
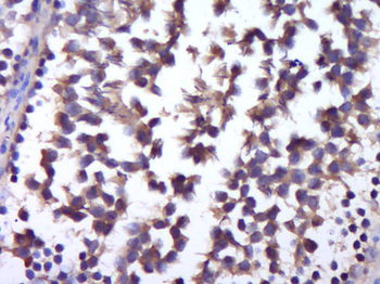
Immunohistochemical analysis of GSK3 alpha/beta staining in human breast cancer formalin fixed paraffin embedded tissue section. The section was pre-treated using heat mediated antigen retrieval with sodium citrate buffer (pH 6.0). The section was then incubated with the antibody at room temperature and detected using an HRP conjugated compact polymer system. DAB was used as the chromogen. The section was then counterstained with haematoxylin and mounted with DPX.
Documents Download
Request a Document
Protocol Information
GSK3 alpha/beta Antibody (orb214019)
Participating in our Biorbyt product reviews program enables you to support fellow scientists by sharing your firsthand experience with our products.
Login to Submit a Review














