You have no items in your shopping cart.
GSK3 β Antibody
Description
Research Area
Images & Validation
−| Tested Applications | IF, IP, WB |
|---|---|
| Dilution Range | ICC: 1:200 |
| Reactivity | Human, Mouse |
Key Properties
−| Host | Mouse |
|---|---|
| Clonality | Monoclonal |
| Clone No. | 2E6-D6-C12 |
| Conjugation | Unconjugated |
Storage & Handling
−| Storage | Maintain refrigerated at 2-8°C for up to 2 weeks. For long term storage store at -20°C in small aliquots to prevent freeze-thaw cycles |
|---|---|
| Disclaimer | For research use only |
Alternative Names
−Similar Products
−GSK3α/β (phospho Tyr279/216) Polyclonal Antibody [orb1415399]
IF, IHC-P, WB
Human, Mouse, Rat
Rabbit
Polyclonal
Unconjugated
100 μlGSK3α/β (phospho Tyr279/216) rabbit pAb Antibody [orb764196]
ELISA, IF, IHC, WB
Human, Mouse, Rat
Polyclonal
Unconjugated
100 μl, 50 μlGSK3α/β rabbit pAb Antibody [orb765361]
ELISA, IF, IHC, WB
Drosophila, Human, Mouse, Rat
Polyclonal
Unconjugated
100 μl, 50 μlGSK3A/GSK3B Antibody [orb675600]
ELISA, IHC, WB
Human, Mouse, Rat
Rabbit
Polyclonal
Unconjugated
50 μg, 100 μgGSK3α/β(Phospho-Tyr279/216) Antibody [orb14974]
IHC, WB
Human, Mouse, Rat
Rabbit
Polyclonal
Unconjugated
50 μl, 100 μl

Quality Guarantee
Explore bioreagents carefree to elevate your research. All our products are rigorously tested for performance. If a product does not perform as described on its datasheet, our scientific support team will provide expert troubleshooting, a prompt replacement, or a refund. For full details, please see our Terms & Conditions and Buying Guide. Contact us at support@biorbyt.com.

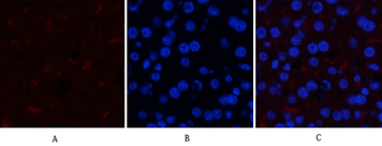
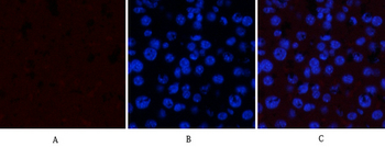
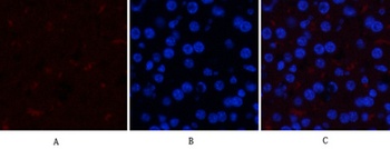
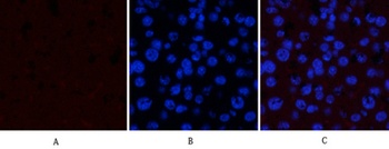
Immunocytochemistry staining of HeLa cells fixed with -20°C Methanol and using GSK-3β mouse mAb (dilution 1:200).

Immunoprecipitation analysis of Hela cell lysates using GSK-3β.GSK-3β Rabbit mAb was used for the western blot analysis (1:1000 diluted).

Western blot analysis of extracts from A549, Hela, 3T3 and Rat Brain cell lysates using GSK-3β mouse mAb (1:1000 diluted). Predicted band size: 46KDa.Observed band size: 46KDa.
Quick Database Links
UniProt Details
−Documents Download
Request a Document
Protocol Information
GSK3 β Antibody (orb653545)
Participating in our Biorbyt product reviews program enables you to support fellow scientists by sharing your firsthand experience with our products.
Login to Submit a Review


















