You have no items in your shopping cart.
HDAC9 Rabbit Polyclonal Antibody
Description
Research Area
Images & Validation
−| Tested Applications | ELISA, FC, ICC, IF, WB |
|---|---|
| Dilution Range | Western blot, 0.25-0.5μg/ml, Human, Mouse, Rat Immunocytochemistry/Immunofluorescence, 4μg/ml, Human Flow Cytometry (Fixed), 1-3μg/1x10^6 cells, Human ELISA, 0.1-0.5μg/ml, - |
| Reactivity | Human, Mouse, Rat |
Key Properties
−| Antibody Type | Primary Antibody |
|---|---|
| Host | Rabbit |
| Clonality | Polyclonal |
| Isotype | Rabbit IgG |
| Immunogen | E.coli-derived human HDAC9 recombinant protein (Position: S7-Q469). |
| Target | Histone deacetylase 9 |
| Molecular Weight | 150 kDa |
| Purification | Immunogen affinity purified. |
| Conjugation | Unconjugated |
Storage & Handling
−| Storage | Maintain refrigerated at 2-8°C for up to 2 weeks. For long term storage store at -20°C in small aliquots to prevent freeze-thaw cycles. |
|---|---|
| Form/Appearance | Lyophilized |
| Buffer/Preservatives | Each vial contains 4mg Trehalose, 0.9mg NaCl, 0.2mg Na2HPO4, 0.01mg NaN3. |
| Concentration | 500 µg/ml |
| Disclaimer | For research use only |
Alternative Names
−Similar Products
−HDAC9 Rabbit Polyclonal Antibody [orb578600]
ChIP, IHC, WB
Guinea pig, Mouse, Sheep
Human
Rabbit
Polyclonal
Unconjugated
100 μlHistone deacetylase 9 rabbit pAb Antibody [orb765397]
ELISA, IF, IHC, WB
Human, Mouse, Rat
Polyclonal
Unconjugated
100 μl, 50 μlHDAC5/9 (phospho Ser259/220) rabbit pAb Antibody [orb767281]
ELISA, IF, IHC, WB
Human, Mouse
Polyclonal
Unconjugated
50 μl, 100 μlHDAC9 Rabbit Polyclonal Antibody [orb500649]
IF, IHC-Fr, IHC-P, WB
Bovine, Canine, Equine, Porcine, Sheep
Human, Mouse, Rat
Rabbit
Polyclonal
Unconjugated
100 μl, 200 μl, 50 μl

Quality Guarantee
Explore bioreagents carefree to elevate your research. All our products are rigorously tested for performance. If a product does not perform as described on its datasheet, our scientific support team will provide expert troubleshooting, a prompt replacement, or a refund. For full details, please see our Terms & Conditions and Buying Guide. Contact us at support@biorbyt.com.

Flow Cytometry analysis of THP-1 cells using anti-HDAC9 antibody. Overlay histogram showing THP-1 cells (Blue line). To facilitate intracellular staining, cells were fixed with 4% paraformaldehyde and permeabilized with permeabilization buffer. The cells were blocked with 10% normal goat serum. And then incubated with rabbit anti-HDAC9 Antibody (1 µg/1x10^6 cells) for 30 min at 20°C. DyLight®488 conjugated goat anti-rabbit IgG (5-10 µg/1x10^6 cells) was used as secondary antibody for 30 minutes at 20°C. Isotype control antibody (Green line) was rabbit IgG (1 µg/1x10^6) used under the same conditions. Unlabelled sample without incubation with primary antibody and secondary antibody (Red line) was used as a blank control.

IF analysis of HDAC9 using anti-HDAC9 antibody. HDAC9 was detected in immunocytochemical section of Hela cells. Enzyme antigen retrieval was performed using IHC enzyme antigen retrieval reagent for 15 mins. The cells were blocked with 10% goat serum. And then incubated with 4 µg/mL rabbit anti-HDAC9 Antibody overnight at 4°C. DyLight®488 Conjugated Goat Anti-Rabbit IgG was used as secondary antibody at 1:100 dilution and incubated for 30 minutes at 37°C. The section was counterstained with DAPI. Visualize using a fluorescence microscope and filter sets appropriate for the label used.

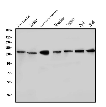
Western blot analysis of HDAC9 using anti-HDAC9 antibody. Electrophoresis was performed on a 5-20% SDS-PAGE gel at 70V (Stacking gel) / 90V (Resolving gel) for 2-3 hours. The sample well of each lane was loaded with 50 ug of sample under reducing conditions. Lane 1: rat testis tissue lysates, Lane 2: rat liver tissue lysates, Lane 3: mouse testis tissue lysates, Lane 4: mouse liver tissue lysates, Lane 5: mouse RAW264.7 whole cell lysates, Lane 6: human THP-1 whole cell lysates, Lane 7: human HL-60 whole cell lysates. After Electrophoresis, proteins were transferred to a Nitrocellulose membrane at 150 mA for 50-90 minutes. Blocked the membrane with 5% Non-fat Milk/ TBS for 1.5 hour at RT. The membrane was incubated with rabbit anti-HDAC9 antigen affinity purified polyclonal antibody at 0.5 µg/mL overnight at 4°C, then washed with TBS-0.1% Tween 3 times with 5 minutes each and probed with a goat anti-rabbit IgG-HRP secondary antibody at a dilution of 1:10000 for 1.5 hour at RT. The signal is developed using an Enhanced Chemiluminescent detection (ECL) kit with Tanon 5200 system. A specific band was detected for HDAC9 at approximately 150 KD. The expected band size for HDAC9 is at 150 KD.
Quick Database Links
UniProt Details
−Documents Download
Request a Document
Protocol Information
HDAC9 Rabbit Polyclonal Antibody (orb654431)
Participating in our Biorbyt product reviews program enables you to support fellow scientists by sharing your firsthand experience with our products.
Login to Submit a Review




















