You have no items in your shopping cart.
Histone H3 Antibody
Description
Research Area
Images & Validation
−| Tested Applications | WB |
|---|---|
| Dilution Range | WB (1/500 - 1/1000) |
| Reactivity | Bovine, Gallus, Human, Mouse, Porcine, Rat, Zebrafish |
Key Properties
−| Antibody Type | Primary Antibody |
|---|---|
| Host | Rabbit |
| Clonality | Polyclonal |
| Immunogen | KLH-conjugated synthetic peptide encompassing a sequence within the C-term region of human Histone H3. The exact sequence is proprietary. |
| Purification | The antibody was purified by immunogen affinity chromatography. |
| Conjugation | Unconjugated |
Storage & Handling
−| Storage | Maintain refrigerated at 2-8°C for up to 2 weeks. For long term storage store at -20°C in small aliquots to prevent freeze-thaw cycles. |
|---|---|
| Form/Appearance | Liquid in 0.42% Potassium phosphate, 0.87% Sodium chloride, pH 7.3, 30% glycerol, and 0.01% sodium azide. |
| Expiration Date | 12 months from date of receipt. |
| Disclaimer | For research use only |
Alternative Names
−Similar Products
−Histone H3 Rabbit Polyclonal Antibody (Nuclear Loading Control) [orb10805]
FC, IF, IHC-Fr, IHC-P, WB
Bovine, Drosophila, Porcine, Rabbit
Human, Mouse, Rat
Rabbit
Polyclonal
Unconjugated
1 ml, 100 μl, 500 μl, 200 μlHistone H3 HIST1H3A/B/C/D/E/F/G/H/I/J Rabbit Polyclonal Antibody [orb614120]
ELISA, FC, ICC, IF, IHC, WB
Human, Mouse, Rat
Rabbit
Polyclonal
Unconjugated
100 μgHistone H3 (tri methyl K79) Mouse Monoclonal Antibody [orb500508]
IF, IHC-Fr, IHC-P, WB
Mouse, Rat
Human, Mouse, Rat
Mouse
Monoclonal
Unconjugated
200 μg, 100 μl, 200 μl, 50 μlHistone H3 (di methyl K36) Mouse Monoclonal Antibody [orb500366]
IF, IHC-Fr, IHC-P
Mouse, Rat
Human, Mouse, Rat
Mouse
Monoclonal
Unconjugated
200 μg, 100 μl, 50 μl, 200 μlHistone H3.1 Rabbit Polyclonal Antibody [orb184149]
IF, IHC-Fr, IHC-P, WB
Bovine, Equine, Porcine, Primate, Rabbit, Sheep
Human, Mouse, Rat
Rabbit
Polyclonal
Unconjugated
200 μl, 100 μl, 50 μl

Quality Guarantee
Explore bioreagents carefree to elevate your research. All our products are rigorously tested for performance. If a product does not perform as described on its datasheet, our scientific support team will provide expert troubleshooting, a prompt replacement, or a refund. For full details, please see our Terms & Conditions and Buying Guide. Contact us at support@biorbyt.com.

Western blot analysis of Histone H3 expression in DLD (A), A375 (B) whole cell lysates. (Predicted band size: 15 kD; Observed band size: 17 kD)

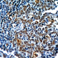
Immunohistochemical analysis of Histone H3 staining in human tonsil formalin fixed paraffin embedded tissue section. The section was pre-treated using heat mediated antigen retrieval with sodium citrate buffer (pH 6.0). The section was then incubated with the antibody at room temperature and detected using an HRP conjugated compact polymer system. DAB was used as the chromogen. The section was then counterstained with haematoxylin and mounted with DPX.
Quick Database Links
UniProt Details
−NCBI Gene Details
−Documents Download
Request a Document
Histone H3 Antibody (orb1289893)
Participating in our Biorbyt product reviews program enables you to support fellow scientists by sharing your firsthand experience with our products.
Login to Submit a Review




























































































































