You have no items in your shopping cart.
CD59 Antibody
Description
Research Area
Images & Validation
−| Tested Applications | FC, IHC-P, IP, WB |
|---|---|
| Reactivity | Human, Mouse |
| Application Notes |
Key Properties
−| Antibody Type | Primary Antibody |
|---|---|
| Clonality | Monoclonal |
| Isotype | Mouse IgG2b |
| Clone No. | MEM-43/5 |
| Immunogen | Thymocytes and T lymphocytes |
| Target | CD59 |
| Purification | Purified by protein-A affinity chromatography. |
| Conjugation | Unconjugated |
Storage & Handling
−| Storage | Maintain refrigerated at 2-8°C for up to 2 weeks. For long term storage store at -20°C in small aliquots to prevent freeze-thaw cycles. |
|---|---|
| Buffer/Preservatives | Phosphate buffered saline (PBS), pH 7.4, 15 mM sodium azide |
| Concentration | 1 mg/ml |
| Expiration Date | 12 months from date of receipt. |
| Disclaimer | For research use only |
Alternative Names
−Similar Products
−CD59 Recombinant Rabbit Monoclonal Antibody [orb1151967]
IF, IHC-Fr, IHC-P, WB
Human
Rabbit
Recombinant
Unconjugated
25 μl, 50 μl, 100 μlCD59 Antibody [orb1410334]
IHC
Human
Rabbit
Monoclonal
Unconjugated
20 μg, 100 μg, 100 μg (without BSA and Azide)CD59 rabbit pAb Antibody [orb766857]
ELISA, IF, IHC, WB
Human, Mouse, Rat
Polyclonal
Unconjugated
100 μlCD59 Mouse Monoclonal Antibody [orb623829]
FC, ICC, IF, IHC, WB
Human
Mouse
Monoclonal
Unconjugated
100 μg

Quality Guarantee
Explore bioreagents carefree to elevate your research. All our products are rigorously tested for performance. If a product does not perform as described on its datasheet, our scientific support team will provide expert troubleshooting, a prompt replacement, or a refund. For full details, please see our Terms & Conditions and Buying Guide. Contact us at support@biorbyt.com.

Western blotting analysis (non-reducing conditions) of whole cell lysate of HPB-ALL human peripheral blood T cell leukemia cell line using anti-CD59 (MEM-43/5). Lane 1: original cell lysate; Lane 2: material immunoprecipitated with anti-human CD59 (MEM-43; cat. no. orb44294)

Separation of human neutrophil granulocytes (red-filled) from human CD59 negative blood debris (black-dashed) in flow cytometry analysis (surface staining) of human peripheral blood stained using anti-human CD59 (MEM-43/5) purified antibody (concentration in sample 0.6 µg/ml, GAM APC).

Flow cytometry surface staining pattern of human peripheral blood stained using anti-human CD59 (MEM-43/5) purified antibody (concentration in sample 0.6 µg/ml, GAM APC).

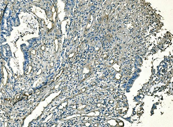
Immunohistochemistry staining of human skin (paraffin sections) using anti-CD59 (MEM-43/5).
Documents Download
Request a Document
Protocol Information
CD59 Antibody (orb44303)
Participating in our Biorbyt product reviews program enables you to support fellow scientists by sharing your firsthand experience with our products.
Login to Submit a Review


























