You have no items in your shopping cart.
Hydroxysteroid (17-beta) Dehydrogenase 4/HSD17B4 Antibody
Description
Research Area
Images & Validation
−| Tested Applications | IHC, WB |
|---|---|
| Dilution range | Immunohistochemistry (Paraffin-embedded Section), 0.5-1μg/ml, Human Western blot, 0.1-0.5μg/ml, Human, Mouse, Rat |
| Reactivity | Human, Mouse, Rat |
Key Properties
−| Antibody Type | Primary Antibody |
|---|---|
| Host | Rabbit |
| Clonality | Polyclonal |
| Isotype | Rabbit IgG |
| Immunogen | E.coli-derived human HSD17B4 recombinant protein (Position: D510-L736). Human HSD17B4 shares 87.7% and 89% amino acid (aa) sequence identity with mouse and rat HSD17B4, respectively. |
| Target | Peroxisomal multifunctional enzyme type 2 |
| Molecular Weight | 80 kDa |
| Purification | Immunogen affinity purified. |
| Conjugation | Unconjugated |
Storage & Handling
−| Storage | Maintain refrigerated at 2-8°C for up to 2 weeks. For long term storage store at -20°C in small aliquots to prevent freeze-thaw cycles. |
|---|---|
| Form/Appearance | Lyophilized |
| Buffer/Preservatives | Each vial contains 4mg Trehalose, 0.9mg NaCl, 0.2mg Na2HPO4, 0.05mg NaN3. |
| Concentration | Adding 0.2 ml of distilled water will yield a concentration of 500 μg/ml. |
| Disclaimer | For research use only |
Alternative Names
−Similar Products
−Hydroxysteroid (17-beta) Dehydrogenase 4/HSD17B4 Antibody [orb76240]
IHC, WB
Human, Mouse, Rat
Rabbit
Polyclonal
Unconjugated
100 μgHydroxysteroid (17 beta) Dehydrogenase 4 Antibody [orb1333416]
IF, WB
Human, Mouse, Rat
Mouse
Monoclonal
Unconjugated
100 μgHydroxysteroid (17 beta) Dehydrogenase 4 Antibody [orb1333417]
WB
Human, Mouse, Rat
Mouse
Monoclonal
Unconjugated
100 μgHydroxysteroid (17 beta) Dehydrogenase 4 Antibody [orb1320401]
IF, WB
Human, Mouse, Rat
Mouse
Monoclonal
Unconjugated
100 μlHydroxysteroid (17 beta) Dehydrogenase 4 Antibody [orb1320402]
WB
Human, Mouse, Rat
Mouse
Monoclonal
Unconjugated
100 μl

Quality Guarantee
Explore bioreagents carefree to elevate your research. All our products are rigorously tested for performance. If a product does not perform as described on its datasheet, our scientific support team will provide expert troubleshooting, a prompt replacement, or a refund. For full details, please see our Terms & Conditions and Buying Guide. Contact us at support@biorbyt.com.

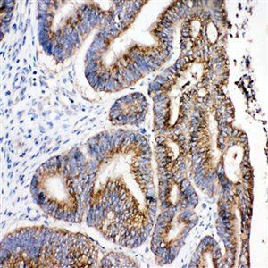
IHC analysis of HSD17B4 using anti-HSD17B4 antibody. HSD17B4 was detected in paraffin-embedded section of human intestinal cancer tissues. Heat mediated antigen retrieval was performed in citrate buffer (pH6, epitope retrieval solution) for 20 mins. The tissue section was blocked with 10% goat serum. The tissue section was then incubated with 1 µg/ml rabbit anti-HSD17B4 Antibody overnight at 4°C. Biotinylated goat anti-rabbit IgG was used as secondary antibody and incubated for 30 minutes at 37°C. The tissue section was developed using Strepavidin-Biotin-Complex (SABC) with DAB as the chromogen.

IHC analysis of HSD17B4 using anti-HSD17B4 antibody. HSD17B4 was detected in paraffin-embedded section of human lung cancer tissues. Heat mediated antigen retrieval was performed in citrate buffer (pH6, epitope retrieval solution) for 20 mins. The tissue section was blocked with 10% goat serum. The tissue section was then incubated with 1 µg/ml rabbit anti-HSD17B4 Antibody overnight at 4°C. Biotinylated goat anti-rabbit IgG was used as secondary antibody and incubated for 30 minutes at 37°C. The tissue section was developed using Strepavidin-Biotin-Complex (SABC) with DAB as the chromogen.

IHC analysis of HSD17B4 using anti-HSD17B4 antibody. HSD17B4 was detected in paraffin-embedded section of human mammary cancer tissues. Heat mediated antigen retrieval was performed in citrate buffer (pH6, epitope retrieval solution) for 20 mins. The tissue section was blocked with 10% goat serum. The tissue section was then incubated with 1 µg/ml rabbit anti-HSD17B4 Antibody overnight at 4°C. Biotinylated goat anti-rabbit IgG was used as secondary antibody and incubated for 30 minutes at 37°C. The tissue section was developed using Strepavidin-Biotin-Complex (SABC) with DAB as the chromogen.

Western blot analysis of HSD17B4 using anti-HSD17B4 antibody. Electrophoresis was performed on a 5-20% SDS-PAGE gel at 70V (Stacking gel) / 90V (Resolving gel) for 2-3 hours. The sample well of each lane was loaded with 30 ug of sample under reducing conditions. Lane 1: human RT4 whole cell lysates, Lane 2: rat liver tissue lysates, Lane 3: mouse liver tissue lysates. After electrophoresis, proteins were transferred to a nitrocellulose membrane at 150 mA for 50-90 minutes. Blocked the membrane with 5% non-fat milk/TBS for 1.5 hour at RT. The membrane was incubated with rabbit anti-HSD17B4 antigen affinity purified polyclonal antibody at 0.5 µg/mL overnight at 4°C, then washed with TBS-0.1% Tween 3 times with 5 minutes each and probed with a goat anti-rabbit IgG-HRP secondary antibody at a dilution of 1:5000 fo r 1.5 hour at RT. The signal is developed using an Enhanced Chemiluminescent detection (ECL) kit with Tanon 5200 system. A specific band was detected for HSD17B4 at approximately 80 kDa. The expected band size for HSD17B4 is at 80 kDa.
Quick Database Links
UniProt Details
−Documents Download
Request a Document
Protocol Information
Hydroxysteroid (17-beta) Dehydrogenase 4/HSD17B4 Antibody (orb18969)
Participating in our Biorbyt product reviews program enables you to support fellow scientists by sharing your firsthand experience with our products.
Login to Submit a Review





