You have no items in your shopping cart.
Description
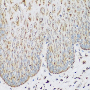
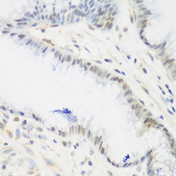
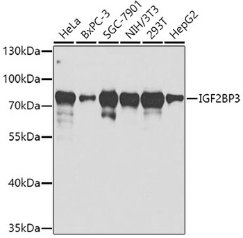
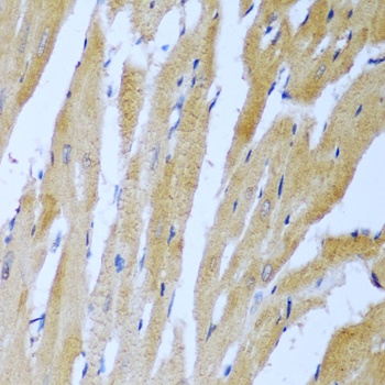
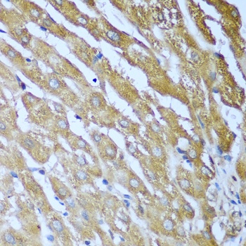
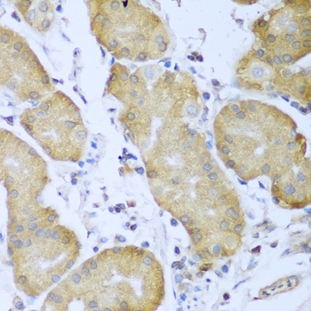
Images & Validation
−| Tested Applications | WB |
|---|---|
| Dilution range | WB: 1:500-1000, IHC-P: 1:50-200 |
| Reactivity | Human, Mouse, Rat |
Key Properties
−| Antibody Type | Primary Antibody |
|---|---|
| Host | Rabbit |
| Clonality | Polyclonal |
| Immunogen | Recombinant fusion protein of human IGF2BP3 |
| Purification | The antibody was purified by immunogen affinity chromatography. |
| Conjugation | Unconjugated |
Storage & Handling
−| Storage | Maintain refrigerated at 2-8°C for up to 2 weeks. For long term storage store at -20°C in small aliquots to prevent freeze-thaw cycles. |
|---|---|
| Form/Appearance | Liquid in 0.42% Potassium phosphate, 0.87% Sodium chloride, pH 7.3, 30% glycerol, and 0.01% sodium azide. |
| Disclaimer | For research use only |
Alternative Names
−Similar Products
−Human Insulin Like Growth Factor 2 mRNA Binding Protein 3 (IGF2BP3) ELISA Kit [orb780219]
Human
0.16-10 ng/mL
0.065 ng/mL
48 T, 96 TIGF2BP3 Antibody [orb46808]
ELISA, IF, IHC, WB
Human, Mouse
Rabbit
Polyclonal
Unconjugated
50 μg, 100 μg

Quality Guarantee
Explore bioreagents carefree to elevate your research. All our products are rigorously tested for performance. If a product does not perform as described on its datasheet, our scientific support team will provide expert troubleshooting, a prompt replacement, or a refund. For full details, please see our Terms & Conditions and Buying Guide. Contact us at support@biorbyt.com.

Western blot analysis of IGF2BP3 expression in Hela (A), PC3 (B), NIH3T3 (C) whole cell lysates. (Predicted band size: 21; 63 kD; Observed band size: 72 kD)
Documents Download
Request a Document
IGF2BP3 Antibody (orb378122)
Participating in our Biorbyt product reviews program enables you to support fellow scientists by sharing your firsthand experience with our products.
Login to Submit a Review















