You have no items in your shopping cart.
Inhibin alpha Rabbit Monoclonal Antibody
Description
Research Area
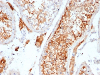
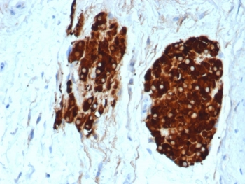
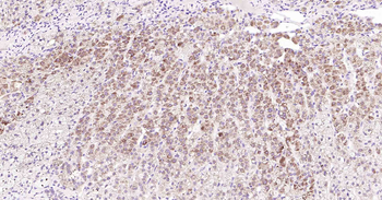
Images & Validation
−| Tested Applications | IHC, WB |
|---|---|
| Dilution Range | WB 1:500-2000 IHC 1:50-200 |
| Reactivity | Human |
Key Properties
−| Antibody Type | Primary Antibody |
|---|---|
| Host | Rabbit |
| Clonality | Monoclonal |
| Isotype | IgG |
| Clone No. | 22I25 |
| Immunogen | A synthesized peptide derived from human Inhibin alpha |
| Target | Inhibin alpha chain |
| Molecular Weight | 40 kDa |
| Purification | Affinity-chromatography |
| Conjugation | Unconjugated |
Storage & Handling
−| Storage | Maintain refrigerated at 2-8°C for up to 2 weeks. For long term storage store at -20°C in small aliquots to prevent freeze-thaw cycles. |
|---|---|
| Form/Appearance | Liquid |
| Buffer/Preservatives | Rabbit IgG in stabilizing components, phosphate buffered saline, pH 7.4, 150mM NaCl, 0.02% sodium azide and 50% glycerol. *This antibody is supplied in a stabilized formulation. Compatibility with conjugation reactions depends on the chemistry of the conjugation method used. For conjugation methods that are not compatible with the stabilizing components present in this formulation, a carrier-free antibody format is required. |
| Concentration | 0.5mg/ml |
| Expiration Date | 12 months from date of receipt. |
| Disclaimer | For research use only |
Alternative Names
−Similar Products
−Recombinant INHA Antibody / Inhibin alpha [orb1151684]
IHC-P
Human
Rabbit
Recombinant
Unconjugated
100 μg, 20 μgInhibin alpha Recombinant Rabbit Monoclonal Antibody [orb1152054]
ICC, IF, IHC-Fr, IHC-P, WB
Human
Rabbit
Recombinant
Unconjugated
25 μl, 50 μl, 100 μlINHA Antibody [orb751376]
IHC, WB
Human
Rabbit
Monoclonal
Unconjugated
100 μg, 20 μg, 100 μg (without BSA and Azide)Inhibin alpha INHA Rabbit Monoclonal Antibody [orb548031]
FC, WB
Human, Mouse, Rat
Rabbit
Monoclonal
Unconjugated
100 μlInhibin alpha Rabbit monoclonal antibody [orb2297374]
IHC, WB
Human
Rabbit
Monoclonal
Unconjugated
25 μl, 50 μl, 100 μl

Quality Guarantee
Explore bioreagents carefree to elevate your research. All our products are rigorously tested for performance. If a product does not perform as described on its datasheet, our scientific support team will provide expert troubleshooting, a prompt replacement, or a refund. For full details, please see our Terms & Conditions and Buying Guide. Contact us at support@biorbyt.com.

Western blot analysis of Inhibin alpha expression in Human testis lysate.
Quick Database Links
UniProt Details
−Documents Download
Request a Document
Protocol Information
Inhibin alpha Rabbit Monoclonal Antibody (orb866269)
Participating in our Biorbyt product reviews program enables you to support fellow scientists by sharing your firsthand experience with our products.
Login to Submit a Review






