You have no items in your shopping cart.
Insulin Receptor (Phospho-Y1361) Antibody
Description
Research Area
Images & Validation
−| Tested Applications | IF, IHC, WB |
|---|---|
| Dilution Range | WB: 1:500:1000, IHC-P: 1:100:200, IF/ICC: 1:100:500 |
| Reactivity | Human, Monkey, Mouse, Rat |
Key Properties
−| Antibody Type | Primary Antibody |
|---|---|
| Host | Rabbit |
| Clonality | Polyclonal |
| Immunogen | KLH-conjugated synthetic phosphopeptide corresponding to residues surrounding Y1361 of human Insulin Receptor protein. The exact sequence is proprietary. |
| Purification | The antibody was purified by immunogen affinity chromatography. |
| Conjugation | Unconjugated |
Storage & Handling
−| Storage | Maintain refrigerated at 2-8°C for up to 2 weeks. For long term storage store at -20°C in small aliquots to prevent freeze-thaw cycles. |
|---|---|
| Form/Appearance | Liquid in 0.42% Potassium phosphate, 0.87% Sodium chloride, pH 7.3, 30% glycerol, and 0.01% sodium azide. |
| Expiration Date | 12 months from date of receipt. |
| Disclaimer | For research use only |
Alternative Names
−Similar Products
−Phospho-Insulin Receptor Beta (Tyr1361) Rabbit Polyclonal Antibody [orb312290]
FC
Bovine, Canine, Equine, Mouse, Rabbit, Rat, Sheep
Human
Rabbit
Polyclonal
Unconjugated
100 μl, 50 μl, 200 μlPhospho-Insulin Receptor Beta (Tyr1361) Rabbit Polyclonal Antibody (Biotin) [orb453803]
FC
Bovine, Canine, Equine, Mouse, Rabbit, Rat, Sheep
Human
Rabbit
Polyclonal
Biotin
100 μlphospho-Insulin Receptor Beta (Tyr1361) Rabbit pAb, Pacific Blue conjugated [orb2868495]
FC
Bovine, Canine, Equine, Mouse, Rabbit, Rat, Sheep
Human
Rabbit
Polyclonal
Pacific Blue
100 μlphospho-Insulin Receptor Beta (Tyr1361) Rabbit pAb, BF700 conjugated [orb2868496]
FC
Bovine, Canine, Equine, Mouse, Rabbit, Rat, Sheep
Human
Rabbit
Polyclonal
BF700
100 μlPhospho-Insulin Receptor Beta (Tyr1361) Rabbit Polyclonal Antibody (PE-Cy5.5) [orb965907]
FC
Bovine, Canine, Equine, Mouse, Rabbit, Rat, Sheep
Human
Rabbit
Polyclonal
PE/Cy5.5
100 μl

Quality Guarantee
Explore bioreagents carefree to elevate your research. All our products are rigorously tested for performance. If a product does not perform as described on its datasheet, our scientific support team will provide expert troubleshooting, a prompt replacement, or a refund. For full details, please see our Terms & Conditions and Buying Guide. Contact us at support@biorbyt.com.

Western blot analysis of Insulin Receptor (Phospho-Y1361) expression in THP1 (A), HEK293T (B) whole cell lysates. (Predicted band size: 156 kD; Observed band size: 95 kD)

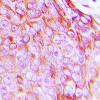
Immunohistochemical analysis of Insulin Receptor (Phospho-Y1361) staining in human breast cancer formalin fixed paraffin embedded tissue section. The section was pre-treated using heat mediated antigen retrieval with sodium citrate buffer (Phospho-H 6.0). The section was then incubated with the antibody at room temperature and detected using an HRP conjugated compact polymer system. DAB was used as the chromogen. The section was then counterstained with haematoxylin and mounted with DPX.

Immunofluorescent analysis of Insulin Receptor (Phospho-Y1361) staining in HEK293T cells. Formalin-fixed cells were permeabilized with 0.1% Triton X-100 in TBS for 5-10 minutes and blocked with 3% BSA-PBS for 30 minutes at room temperature. Cells were probed with the primary antibody in 3% BSA-PBS and incubated overnight at 4 °C in a hidified chamber. Cells were washed with PBST and incubated with a DyLight 594-conjugated secondary antibody (red) in PBS at room temperature in the dark. DAPI was used to stain the cell nuclei (blue).
Documents Download
Request a Document
Protocol Information
Filter by Applications
Filter by Species
Lynda Bourebaba 1, Mikołaj Panek 2, Lilibeth Carolina Cárdenas Piedra 2, Nabila Bourebaba 2 Abnormal Fetuin-A levels in obese horses are associated with activated TLR4/NF-ƙB/MAPK axis and depleted FBXW7 E3 ubiquitin ligase Vet Res Commun, (2025)
Applications
Reactivity
Insulin Receptor (Phospho-Y1361) Antibody (orb393084)
Participating in our Biorbyt product reviews program enables you to support fellow scientists by sharing your firsthand experience with our products.
Login to Submit a Review
