You have no items in your shopping cart.
Interleukin-10 IL10/10 Rabbit Polyclonal Antibody
Description
Research Area
Images & Validation
−| Tested Applications | ELISA, IHC, WB |
|---|---|
| Dilution Range | Western blot, 0.1-0.5μg/ml, Human Immunohistochemistry (Paraffin-embedded Section), 2-5μg/ml, Human ELISA, 0.1-0.5μg/ml, - |
| Reactivity | Human |
Key Properties
−| Antibody Type | Primary Antibody |
|---|---|
| Host | Rabbit |
| Clonality | Polyclonal |
| Isotype | Rabbit IgG |
| Immunogen | E. coli-derived human IL-10 recombinant protein (Position: S19-N178). |
| Target | Interleukin-10 |
| Molecular Weight | 17 kDa |
| Purification | Immunogen affinity purified. |
| Conjugation | Unconjugated |
Storage & Handling
−| Storage | Maintain refrigerated at 2-8°C for up to 2 weeks. For long term storage store at -20°C in small aliquots to prevent freeze-thaw cycles. |
|---|---|
| Form/Appearance | Lyophilized |
| Buffer/Preservatives | Each vial contains 4 mg Trehalose, 0.9 mg NaCl and 0.2 mg Na2HPO4. |
| Concentration | Adding 0.2 ml of distilled water will yield a concentration of 500 μg/ml. |
| Expiration Date | 12 months from date of receipt. |
| Disclaimer | For research use only |
Alternative Names
−Similar Products
−Interleukin-10 IL10/10 Rabbit Polyclonal Antibody [orb76364]
ELISA, IHC, WB
Rat
Rabbit
Polyclonal
Unconjugated
100 μgInterleukin-10 IL10/10 Rabbit Polyclonal Antibody [orb27567]
WB
Human
Rabbit
Polyclonal
Unconjugated
100 μgInterleukin-10 IL10/10 Rabbit Polyclonal Antibody [orb76363]
ELISA, WB
Mouse
Rabbit
Polyclonal
Unconjugated
100 μgInterleukin-10 IL10/10 Rabbit Polyclonal Antibody (Fluoro647) [orb3074651]
FC
Rat
Rabbit
Polyclonal
Fluoro647
100 μgInterleukin-10 IL10/10 Rabbit Polyclonal Antibody (Fluoro594) [orb3074652]
FC
Rat
Rabbit
Polyclonal
Fluoro594
100 μg

Quality Guarantee
Explore bioreagents carefree to elevate your research. All our products are rigorously tested for performance. If a product does not perform as described on its datasheet, our scientific support team will provide expert troubleshooting, a prompt replacement, or a refund. For full details, please see our Terms & Conditions and Buying Guide. Contact us at support@biorbyt.com.

Figure. Western blot analysis of IL-10 using anti-IL-10 antibody (orb76362). Electrophoresis was performed on a 5-20% SDS-PAGE gel at 70V (Stacking gel)/90V (Resolving gel) for 2-3 hours. The sample well of each lane was loaded with 50ug of sample under reducing conditions. Lane: Recombinant Human IL-10 Protein 0.5ng After Electrophoresis, proteins were transferred to a Nitrocellulose membrane at 150mA for 50-90 minutes. Blocked the membrane with 5% Non-fat Milk/TBS for 1.5 hour at RT. The membrane was incubated with rabbit anti-IL-10 antigen affinity purified polyclonal antibody (Catalog # orb76362) at 0.5 μg/mL overnight at 4°C, then washed with TBS-0.1%Tween 3 times with 5 minutes each and probed with a goat anti-rabbit IgG-HRP secondary antibody at a dilution of 1:10000 for 1.5 hour at RT. The signal is developed using an Enhanced Chemiluminescent detection (ECL) kit (Catalog # orb90503) with Tanon 5200 system. A specific band was detected for IL-10 at approximately 19KD. The expected band size for IL-10 is at 19KD.

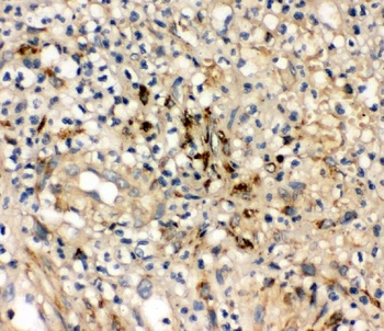
IHC analysis of IL10 using anti-IL10 antibody (orb76362). IL10 was detected in paraffin-embedded section of human appendicitis tissue. Heat mediated antigen retrieval was performed in EDTA buffer (pH8.0, epitope retrieval solution). The tissue section was blocked with 10% goat serum. The tissue section was then incubated with 1μg/ml rabbit anti-IL10 Antibody (orb76362) overnight at 4°C. Biotinylated goat anti-rabbit IgG was used as secondary antibody and incubated for 30 minutes at 37°C. The tissue section was developed using Strepavidin-Biotin-Complex (SABC) (Catalog # orb90444) with DAB as the chromogen.
Quick Database Links
UniProt Details
−Documents Download
Request a Document
Protocol Information
Interleukin-10 IL10/10 Rabbit Polyclonal Antibody (orb76362)
Participating in our Biorbyt product reviews program enables you to support fellow scientists by sharing your firsthand experience with our products.
Login to Submit a Review


