You have no items in your shopping cart.
Description
Research Area
Signal Transduction
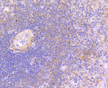
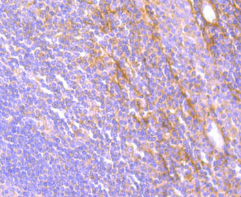
Images & Validation
−Item 1 of 1
| Tested Applications | ICC, IF, WB |
|---|---|
| Dilution Range | WB 1:500-2000 ICC/IF 1:50-200 |
| Reactivity | Human |
Key Properties
−| Antibody Type | Primary Antibody |
|---|---|
| Host | Rabbit |
| Clonality | Monoclonal |
| Isotype | IgG |
| Clone No. | 17J71 |
| Immunogen | A synthesized peptide derived from human JAK3 |
| Target | Tyrosine-protein kinase JAK3 |
| Molecular Weight | 290 kDa |
| Purification | Affinity-chromatography |
| Conjugation | Unconjugated |
Storage & Handling
−| Storage | Maintain refrigerated at 2-8°C for up to 2 weeks. For long term storage store at -20°C in small aliquots to prevent freeze-thaw cycles. |
|---|---|
| Form/Appearance | Liquid |
| Buffer/Preservatives | Rabbit IgG in stabilizing components, phosphate buffered saline, pH 7.4, 150mM NaCl, 0.02% sodium azide and 50% glycerol. *This antibody is supplied in a stabilized formulation. Compatibility with conjugation reactions depends on the chemistry of the conjugation method used. For conjugation methods that are not compatible with the stabilizing components present in this formulation, a carrier-free antibody format is required. |
| Concentration | 0.5mg/ml |
| Expiration Date | 12 months from date of receipt. |
| Disclaimer | For research use only |
Alternative Names
−Aminopeptidase N; AP-N; hAPN; 3.4.11.2; Alanyl aminopeptidase; Aminopeptidase M; AP-M; Microsomal aminopeptidase; Myeloid plasma membrane glycoprotein CD13; gp150; CD13; ANPEP; APN, CD13, PEPN
Similar Products
−JAK3 Recombinant Rabbit Monoclonal Antibody [orb608060]
ICC, WB
Human
Rabbit
Recombinant
Unconjugated
50 μl, 100 μlJAK3 Rabbit monoclonal antibody [orb2297792]
ICC, WB
Human
Rabbit
Monoclonal
Unconjugated
25 μl, 50 μl, 100 μl

Quality Guarantee
Explore bioreagents carefree to elevate your research. All our products are rigorously tested for performance. If a product does not perform as described on its datasheet, our scientific support team will provide expert troubleshooting, a prompt replacement, or a refund. For full details, please see our Terms & Conditions and Buying Guide. Contact us at support@biorbyt.com.

Western blot analysis of JAK3 expression in TF-1 cell lysate.
Quick Database Links
Gene Symbol
Tyrosine-protein kinase JAK3
UniProt
UniProt Details
− No UniProt data available
Documents Download
Datasheet
Product Information
Request a Document
Protocol Information
WB
Western Blot (IB, immunoblot)
IF
Immunofluorescence
ICC
Immunocytochemistry
JAK3 Rabbit Monoclonal Antibody (orb865815)
Based on 0 reviews
Participating in our Biorbyt product reviews program enables you to support fellow scientists by sharing your firsthand experience with our products.
Login to Submit a Review


