You have no items in your shopping cart.
MICA Antibody
Description
Images & Validation
−| Tested Applications | FC, WB |
|---|---|
| Dilution Range | WB 1:1000; Flow Cyt 1:100 |
| Reactivity | Human |
Key Properties
−| Antibody Type | Recombinant Antibody |
|---|---|
| Host | Rabbit |
| Clonality | Monoclonal |
| Isotype | Rabbit/Human Fc chimeric IgG1 |
| Clone No. | 7F12 |
| Target | MICA |
| Purification | Purified from cell culture supernatant by affinity chromatography |
| Conjugation | Unconjugated |
Storage & Handling
−| Storage | Maintain refrigerated at 2-8°C for up to 2 weeks. For long term storage store at -20°C in small aliquots to prevent freeze-thaw cycles. |
|---|---|
| Expiration Date | 12 months from date of receipt. |
| Disclaimer | For research use only |
Alternative Names
−Similar Products
−MICA Antibody (Center) [orb1928388]
FC, IF, IHC-P, WB
Human
Rabbit
Polyclonal
Unconjugated
100 μl, 50 μlMICA Rabbit Polyclonal Antibody [orb11047]
FC, IF, IHC-Fr, IHC-P, WB
Mouse
Human, Mouse
Rabbit
Polyclonal
Unconjugated
50 μl, 100 μl, 200 μlMICA Antibody [orb1410066]
IHC, WB
Guinea pig, Hamster, Human, Mouse, Rat
Mouse
Monoclonal
Unconjugated
100 μg (without BSA and Azide), 20 μg, 100 μgHuman MHC Class I Chain-Related Protein A (MICA) ELISA Kit [orb782330]
Human
1.57-100 ng/mL
0.37 ng/mL
96 T, 48 T

Quality Guarantee
Explore bioreagents carefree to elevate your research. All our products are rigorously tested for performance. If a product does not perform as described on its datasheet, our scientific support team will provide expert troubleshooting, a prompt replacement, or a refund. For full details, please see our Terms & Conditions and Buying Guide. Contact us at support@biorbyt.com.

Anti-MICA antibody (SKU# orb2322346) at 1/1000 dilution.Lane: HeLa (human cervical adenocarcinoma epithelial cell), whole cell lysate.Secondary: Goat Anti-Rabbit IgG H&L (HRP) at 1/5000 dilution.band size: 43 kDa

Flow cytometry analysis of antigen binding of anti-human MICA mAb (orb2322346). (A) orb2322346 does bind to PC3 cells that weakly express MICA. (B) A clear peak shift of orb2322346 was seen compared to the control when incubated with MICA-expressing Hela cells, indicating strong binding of orb2322346 to MICA. Antibodies were incubated at 10 μg/mL.
Quick Database Links
UniProt Details
−Documents Download
Request a Document
Protocol Information
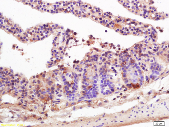
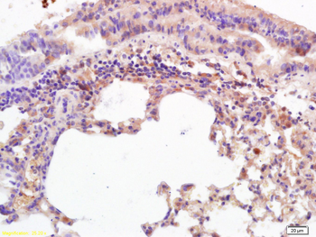
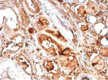
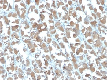
MICA Antibody (orb2322346)
Participating in our Biorbyt product reviews program enables you to support fellow scientists by sharing your firsthand experience with our products.
Login to Submit a Review
















