You have no items in your shopping cart.
Myosin Phosphatase/PPP1R12A Rabbit Polyclonal Antibody
Description
Research Area
Images & Validation
−| Tested Applications | FC, ICC, IF, IHC, WB |
|---|---|
| Dilution Range | Western blot, 0.1-0.5μg/ml, Human, Mouse, Rat, Monkey Immunohistochemistry (Paraffin-embedded Section), 0.5-1μg/ml, Human Immunocytochemistry/Immunofluorescence, 2μg/ml, Human Flow Cytometry (Fixed), 1-3μg/1x10^6 cells, Human |
| Reactivity | Human, Monkey, Mouse, Rat |
Key Properties
−| Antibody Type | Primary Antibody |
|---|---|
| Host | Rabbit |
| Clonality | Polyclonal |
| Isotype | Rabbit IgG |
| Immunogen | A synthetic peptide corresponding to a sequence at the N-terminus of human PPP1R12A, identical to the related mouse and rat sequences. |
| Target | Protein phosphatase 1 regulatory subunit 12A |
| Molecular Weight | 130 kDa |
| Purification | Immunogen affinity purified. |
| Conjugation | Unconjugated |
Storage & Handling
−| Storage | Maintain refrigerated at 2-8°C for up to 2 weeks. For long term storage store at -20°C in small aliquots to prevent freeze-thaw cycles. |
|---|---|
| Form/Appearance | Lyophilized |
| Buffer/Preservatives | Each vial contains antibody formulated with stabilizing components, 0.9 mg NaCl, 0.2 mg Na2HPO4, and 0.05 mg NaN3. *This antibody is supplied in a stabilized formulation. Compatibility with conjugation reactions depends on the chemistry of the conjugation method used. For conjugation methods that are not compatible with the stabilizing components present in this formulation, a carrier-free antibody format is required. |
| Concentration | Adding 0.2 ml of distilled water will yield a concentration of 500 μg/ml. |
| Expiration Date | 12 months from date of receipt. |
| Disclaimer | For research use only |
Alternative Names
−Similar Products
−Myosin Phosphatase/PPP1R12A Rabbit Polyclonal Antibody [orb76195]
ICC, IF, WB
Human, Monkey, Mouse, Rat
Rabbit
Polyclonal
Unconjugated
100 μgMyosin Phosphatase/PPP1R12A Rabbit Polyclonal Antibody (Fluoro550) [orb3075988]
FC
Human, Monkey, Mouse, Rat
Rabbit
Polyclonal
Fluoro550
100 μgMyosin Phosphatase/PPP1R12A Rabbit Polyclonal Antibody [orb3075990]
FC, ICC, IF, IHC, WB
Human, Monkey, Mouse, Rat
Rabbit
Polyclonal
Unconjugated
100 μgMyosin Phosphatase/PPP1R12A Rabbit Polyclonal Antibody (Fluoro488) [orb3075989]
FC
Human, Monkey, Mouse, Rat
Rabbit
Polyclonal
Fluoro488
100 μgMyosin Phosphatase/PPP1R12A Rabbit Polyclonal Antibody (Fluoro594) [orb3075987]
FC
Human, Monkey, Mouse, Rat
Rabbit
Polyclonal
Fluoro594
100 μg

Quality Guarantee
Explore bioreagents carefree to elevate your research. All our products are rigorously tested for performance. If a product does not perform as described on its datasheet, our scientific support team will provide expert troubleshooting, a prompt replacement, or a refund. For full details, please see our Terms & Conditions and Buying Guide. Contact us at support@biorbyt.com.

Flow Cytometry analysis of Hela cells using anti-PPP1R12A antibody. Overlay histogram showing Hela cells (Blue line). To facilitate intracellular staining, cells were fixed with 4% paraformaldehyde and permeabilized with permeabilization buffer. The cells were blocked with 10% normal goat serum. And then incubated with rabbit anti-PPP1R12A Antibody (1 µg/1x10^6 cells) for 30 min at 20°C. DyLight®488 conjugated goat anti-rabbit IgG (5-10 µg/1x10^6 cells) was used as secondary antibody for 30 minutes at 20°C. Isotype control antibody (Green line) was rabbit IgG (1 µg/1x10^6) used under the same conditions. Unlabelled sample without incubation with primary antibody and secondary antibody (Red line) was used as a blank control.

Flow Cytometry analysis of SiHa cells using anti-PPP1R12A antibody. Overlay histogram showing SiHa cells (Blue line). To facilitate intracellular staining, cells were fixed with 4% paraformaldehyde and permeabilized with permeabilization buffer. The cells were blocked with 10% normal goat serum. And then incubated with rabbit anti-PPP1R12A Antibody (1 µg/1x10^6 cells) for 30 min at 20°C. DyLight®488 conjugated goat anti-rabbit IgG (5-10 µg/1x10^6 cells) was used as secondary antibody for 30 minutes at 20°C. Isotype control antibody (Green line) was rabbit IgG (1 µg/1x10^6) used under the same conditions. Unlabelled sample without incubation with primary antibody and secondary antibody (Red line) was used as a blank control.

Flow Cytometry analysis of U251 cells using anti-PPP1R12A antibody. Overlay histogram showing U251 cells (Blue line). To facilitate intracellular staining, cells were fixed with 4% paraformaldehyde and permeabilized with permeabilization buffer. The cells were blocked with 10% normal goat serum. And then incubated with rabbit anti-PPP1R12A Antibody (1 µg/1x10^6 cells) for 30 min at 20°C. DyLight®488 conjugated goat anti-rabbit IgG (5-10 µg/1x10^6 cells) was used as secondary antibody for 30 minutes at 20°C. Isotype control antibody (Green line) was rabbit IgG (1 µg/1x10^6) used under the same conditions. Unlabelled sample without incubation with primary antibody and secondary antibody (Red line) was used as a blank control.

IHC analysis of PPP1R12A using anti-PPP1R12A antibody. PPP1R12A was detected in immunocytochemical section of SiHa cell. Enzyme antigen retrieval was performed using IHC enzyme antigen retrieval reagent for 15 mins. The cells were blocked with 10% goat serum. And then incubated with 2 µg/ml rabbit anti-PPP1R12A Antibody overnight at 4°C. Biotin conjugated goat anti-rabbit IgG was used as secondary antibody and incubated for 30 minutes at 37°C. The section was developed using DyLight®488 Conjugated Avidin. Visualize using a fluorescence microscope and filter sets appropriate for the label used.

IHC analysis of PPP1R12A using anti-PPP1R12A antibody. PPP1R12A was detected in immunocytochemical section of U251 cell. Enzyme antigen retrieval was performed using IHC enzyme antigen retrieval reagent for 15 mins. The cells were blocked with 10% goat serum. And then incubated with 2 µg/ml rabbit anti-PPP1R12A Antibody overnight at 4°C. Biotin conjugated goat anti-rabbit IgG was used as secondary antibody and incubated for 30 minutes at 37°C. The section was developed using DyLight®488 Conjugated Avidin. Visualize using a fluorescence microscope and filter sets appropriate for the label used.

IHC analysis of PPP1R12A using anti-PPP1R12A antibody. PPP1R12A was detected in immunocytochemical section of U251 cell. Enzyme antigen retrieval was performed using IHC enzyme antigen retrieval reagent for 15 mins. The cells were blocked with 10% goat serum. And then incubated with 2 µg/ml rabbit anti-PPP1R12A Antibody overnight at 4°C. Biotin conjugated goat anti-rabbit IgG was used as secondary antibody and incubated for 30 minutes at 37°C. The section was developed using DyLight®488 Conjugated Avidin. Visualize using a fluorescence microscope and filter sets appropriate for the label used.

IHC analysis of PPP1R12A using anti-PPP1R12A antibody. PPP1R12A was detected in immunocytochemical section of U251 cell. Enzyme antigen retrieval was performed using IHC enzyme antigen retrieval reagent for 15 mins. The cells were blocked with 10% goat serum. And then incubated with 2 µg/ml rabbit anti-PPP1R12A Antibody overnight at 4°C. Biotin conjugated goat anti-rabbit IgG was used as secondary antibody and incubated for 30 minutes at 37°C. The section was developed using DyLight®488 Conjugated Avidin. Visualize using a fluorescence microscope and filter sets appropriate for the label used.

IHC analysis of PPP1R12A using anti-PPP1R12A antibody. PPP1R12A was detected in immunocytochemical section of U251 cell. Enzyme antigen retrieval was performed using IHC enzyme antigen retrieval reagent for 15 mins. The cells were blocked with 10% goat serum. And then incubated with 2 µg/ml rabbit anti-PPP1R12A Antibody overnight at 4°C. Biotin conjugated goat anti-rabbit IgG was used as secondary antibody and incubated for 30 minutes at 37°C. The section was developed using DyLight®488 Conjugated Avidin. Visualize using a fluorescence microscope and filter sets appropriate for the label used.

IHC analysis of PPP1R12A using anti-PPP1R12A antibody. PPP1R12A was detected in paraffin-embedded section of Human Glioma Tissue. Heat mediated antigen retrieval was performed in citrate buffer (pH6, epitope retrieval solution) for 20 mins. The tissue section was blocked with 10% goat serum. The tissue section was then incubated with 1 µg/ml rabbit anti-PPP1R12A Antibody overnight at 4°C. Biotinylated goat anti-rabbit IgG was used as secondary antibody and incubated for 30 minutes at 37°C. The tissue section was developed using Strepavidin-Biotin-Complex (SABC) with DAB as the chromogen.

Western blot analysis of PPP1R12A using anti-PPP1R12A antibody. Electrophoresis was performed on a 5-20% SDS-PAGE gel at 70V (Stacking gel) / 90V (Resolving gel) for 2-3 hours. The sample well of each lane was loaded with 50 ug of sample under reducing conditions. Lane 1: human HELA whole cell lysates, Lane 2: human Jurkat whole cell lysates, Lane 3: human HEK293 whole cell lysates, Lane 4: monkey COS-7 whole cell lysates, Lane 5: human Raji whole cell lysates, Lane 6: human K562 whole cell lysates, Lane 7: human CACO-2 whole cell lysates, Lane 8: human HEPG2 whole cell lysates. After Electrophoresis, proteins were transferred to a Nitrocellulose membrane at 150mA for 50-90 minutes. Blocked the membrane with 5% Non-fat Milk/ TBS for 1.5 hour at RT. The membrane was incubated with rabbit anti-PPP1R12A antigen affinity purified polyclonal antibody at 0.5 µg/mL overnight at 4°C, then washed with TBS-0.1% Tween 3 times with 5 minutes each and probed with a goat anti-rabbit IgG-HRP secondary antibody at a dilution of 1:5000 for 1.5 hour at RT. The signal is developed using an Enhanced Chemiluminescent detection (ECL) kit with Tanon 5200 system. A specific band was detected for PPP1R12A at approximately 130 KD. The expected band size for PPP1R12A is at 130 KD.

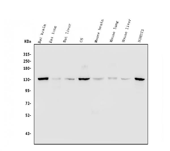
Western blot analysis of PPP1R12A using anti-PPP1R12A antibody. Electrophoresis was performed on a 5-20% SDS-PAGE gel at 70V (Stacking gel) / 90V (Resolving gel) for 2-3 hours. The sample well of each lane was loaded with 50 ug of sample under reducing conditions. Lane 1: rat brain tissue lysates, Lane 2: rat lung tissue lysates, Lane 3: rat liver tissue lysates, Lane 4: rat C6 whole cell lysates, Lane 5: mouse brain tissue lysates, Lane 6: mouse lung tissue lysates, Lane 7: mouse liver tissue lysates, Lane 8: mouse NIH/3T3 whole cell lysates. After Electrophoresis, proteins were transferred to a Nitrocellulose membrane at 150mA for 50-90 minutes. Blocked the membrane with 5% Non-fat Milk/ TBS for 1.5 hour at RT. The membrane was incubated with rabbit anti-PPP1R12A antigen affinity purified polyclonal antibody at 0.5 µg/mL overnight at 4°C, then washed with TBS-0.1% Tween 3 times with 5 minutes each and probed with a goat anti-rabbit IgG-HRP secondary antibody at a dilution of 1:5000 for 1.5 hour at RT. The signal is developed using an Enhanced Chemiluminescent detection (ECL) kit with Tanon 5200 system. A specific band was detected for PPP1R12A at approximately 130 KD. The expected band size for PPP1R12A is at 130 KD.
Quick Database Links
UniProt Details
−Documents Download
Request a Document
Protocol Information
Myosin Phosphatase/PPP1R12A Rabbit Polyclonal Antibody (orb316600)
Participating in our Biorbyt product reviews program enables you to support fellow scientists by sharing your firsthand experience with our products.
Login to Submit a Review
