You have no items in your shopping cart.
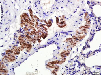
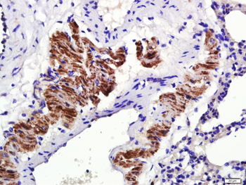
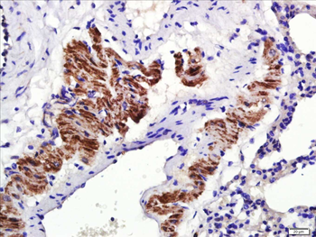
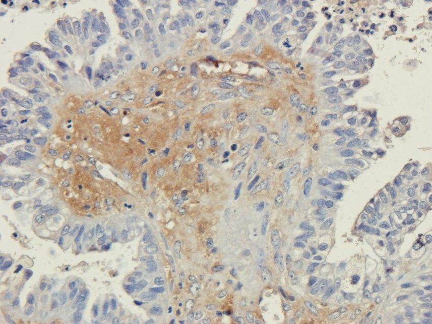
Osteopontin Antibody
Description
Images & Validation
−| Tested Applications | ELISA, FA, FACS, In vivo |
|---|---|
| Reactivity | Human |
Key Properties
−| Clonality | Monoclonal |
|---|---|
| Target | Osteopontin |
| Source/Expression System | CHO |
| Molecular Weight | 145.02 kDa |
| Purity | >95% |
| Purification | Protein A |
| Endotoxin | <0.001 EU/ug |
| Conjugation | Unconjugated |
Storage & Handling
−| Storage | Maintain refrigerated at 2-8°C for up to 2 weeks. For long term storage store at -20°C in small aliquots to prevent freeze-thaw cycles. |
|---|---|
| Buffer/Preservatives | 100 mM Proline/Acetic acid 20mM Arginine pH 5.0 |
| Concentration | Batch dependent |
| Expiration Date | 12 months from date of receipt. |
| Disclaimer | For research use only |
Similar Products
−Osteopontin Rabbit Polyclonal Antibody [orb11192]
FC, IF, IHC-Fr, IHC-P, WB
Human, Rat
Human, Rat
Rabbit
Polyclonal
Unconjugated
50 μl, 100 μl, 200 μlOsteopontin Rabbit Polyclonal Antibody [orb500935]
FC, IF, IHC-Fr, IHC-P, WB
Human
Human, Rat
Rabbit
Polyclonal
Unconjugated
50 μl, 100 μl, 200 μlOsteopontin Rabbit Polyclonal Antibody [orb11191]
FC, IF, IHC-Fr, IHC-P, WB
Rat
Human, Rat
Rabbit
Polyclonal
Unconjugated
50 μl, 100 μl, 200 μlSPP1 Rabbit Polyclonal Antibody [orb576067]
IHC, WB
Bovine, Canine, Goat, Guinea pig, Mouse, Rat, Sheep
Human
Rabbit
Polyclonal
Unconjugated
100 μlOsteopontin Rabbit Polyclonal Antibody [orb385622]
IHC-P, WB
Human, Mouse, Rat
Rabbit
Polyclonal
Unconjugated
100 μg

Quality Guarantee
Explore bioreagents carefree to elevate your research. All our products are rigorously tested for performance. If a product does not perform as described on its datasheet, our scientific support team will provide expert troubleshooting, a prompt replacement, or a refund. For full details, please see our Terms & Conditions and Buying Guide. Contact us at support@biorbyt.com.

Anti-Osteopontin Reference Antibody (ASK8007) on SDS-PAGE under reducing (R) condition. The gel was stained with Coomassie Blue. The purity of the protein is greater than 97.4%.

The purity of Anti-Osteopontin Reference Antibody (ASK8007)is more than 98.51% ;determined by SEC-HPLC.
Quick Database Links
UniProt Details
−Documents Download
Request a Document
Protocol Information
Osteopontin Antibody (orb1805634)
Participating in our Biorbyt product reviews program enables you to support fellow scientists by sharing your firsthand experience with our products.
Login to Submit a Review



















