You have no items in your shopping cart.
p53 (Phospho-S15) Rabbit Polyclonal Antibody
Description
Research Area
Images & Validation
−| Tested Applications | IF, IHC, IP, WB |
|---|---|
| Dilution Range | WB: 1-500-1-1000, IHC-P: 1-100-1-200, IF/ICC: 1-100-1-500, IP: 1-10-1-100 |
| Reactivity | Human, Rat |
Key Properties
−| Antibody Type | Primary Antibody |
|---|---|
| Host | Rabbit |
| Clonality | Polyclonal |
| Immunogen | KLH-conjugated synthetic phosphopeptide corresponding to residues surrounding S15 of human p53 protein. The exact sequence is proprietary. |
| Target | TP53 |
| Purification | The antibody was purified by immunogen affinity chromatography. |
| Conjugation | Unconjugated |
Storage & Handling
−| Storage | Maintain refrigerated at 2-8°C for up to 2 weeks. For long term storage store at -20°C in small aliquots to prevent freeze-thaw cycles. |
|---|---|
| Form/Appearance | Liquid |
| Buffer/Preservatives | 0.42% Potassium phosphate, 0.87% Sodium chloride, pH 7.3, 30% glycerol, and 0.01% sodium azide. |
| Expiration Date | 12 months from date of receipt. |
| Disclaimer | For research use only |
Alternative Names
−Similar Products
−Phospho-P53 (Ser15) Rabbit Polyclonal Antibody [orb6594]
FC, ICC, IF, IHC-Fr, IHC-P, WB
Bovine, Canine, Guinea pig, Porcine, Rabbit, Sheep
Human, Mouse
Rabbit
Polyclonal
Unconjugated
50 μl, 100 μl, 200 μlp53 (phospho-S15) polyclonal antibody [orb644454]
IHC, IP, WB
Human, Mouse, Rat
Rabbit
Polyclonal
Unconjugated
25 μl, 200 μl, 100 μl, 50 μlPhospho-P53 (Ser15) Rabbit Polyclonal Antibody (PE) [orb505756]
FC, ICC, IF
Bovine, Canine, Guinea pig, Porcine, Rabbit, Sheep
Human, Mouse
Rabbit
Polyclonal
PE
100 μlPhospho-P53 (Ser15) Rabbit Polyclonal Antibody (HRP) [orb503260]
IHC-Fr, IHC-P, WB
Bovine, Canine, Guinea pig, Porcine, Rabbit, Sheep
Human, Mouse
Rabbit
Polyclonal
HRP
100 μlPhospho-P53 (Ser15) Rabbit Polyclonal Antibody (Biotin) [orb501327]
FC, ICC, IF, IHC-Fr, IHC-P, WB
Bovine, Canine, Guinea pig, Porcine, Rabbit, Sheep
Human, Mouse
Rabbit
Polyclonal
Biotin
100 μl

Quality Guarantee
Explore bioreagents carefree to elevate your research. All our products are rigorously tested for performance. If a product does not perform as described on its datasheet, our scientific support team will provide expert troubleshooting, a prompt replacement, or a refund. For full details, please see our Terms & Conditions and Buying Guide. Contact us at support@biorbyt.com.

Western blot analysis of p53 (Phospho-S15) expression in Hela (A), Jurkat (B) whole cell lysates. (Predicted band size: 43 kD; Observed band size: 53; 47 kD)

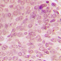
Immunohistochemical analysis of p53 (Phospho-S15) staining in human breast cancer formalin fixed paraffin embedded tissue section. The section was pre-treated using heat mediated antigen retrieval with sodium citrate buffer (Phospho-H 6.0). The section was then incubated with the antibody at room temperature and detected using an HRP conjugated compact polymer system. DAB was used as the chromogen. The section was then counterstained with haematoxylin and mounted with DPX.

Immunofluorescent analysis of p53 (Phospho-S15) staining in PC12 cells. Formalin-fixed cells were permeabilized with 0.1% Triton X-100 in TBS for 5-10 minutes and blocked with 3% BSA-PBS for 30 minutes at room temperature. Cells were probed with the primary antibody in 3% BSA-PBS and incubated overnight at 4 °C in a humidified chamber. Cells were washed with PBST and incubated with a DyLight 594-conjugated secondary antibody (red) in PBS at room temperature in the dark.

Direct ELISA antibody dose-response curve using Anti-p53 (Phospho-S15) Antibody. Antigen (Phosphopeptide and non-phosphopeptide) concentration is 5 ug/ml. Goat Anti-Rabbit IgG (H&L) - HRP was used as the secondary antibody, and signal was developed by TMB substrate.
Quick Database Links
UniProt Details
−NCBI Gene Details
−Documents Download
Request a Document
Protocol Information
p53 (Phospho-S15) Rabbit Polyclonal Antibody (orb214691)
Participating in our Biorbyt product reviews program enables you to support fellow scientists by sharing your firsthand experience with our products.
Login to Submit a Review



