You have no items in your shopping cart.
PSA Antibody
Description
Research Area
Images & Validation
−| Tested Applications | ELISA, IHC-P, WB |
|---|---|
| Reactivity | Human |
| Application Notes |
Key Properties
−| Antibody Type | Primary Antibody |
|---|---|
| Clonality | Monoclonal |
| Isotype | Mouse IgG1 |
| Clone No. | A67-B/E3 |
| Immunogen | 30 kDa protein fraction prepared from human seminal plasma |
| Target | PSA |
| Purification | Purified by protein-A affinity chromatography. |
| Conjugation | Unconjugated |
Storage & Handling
−| Storage | Maintain refrigerated at 2-8°C for up to 2 weeks. For long term storage store at -20°C in small aliquots to prevent freeze-thaw cycles. |
|---|---|
| Buffer/Preservatives | Phosphate buffered saline (PBS), pH 7.4, 15 mM sodium azide |
| Concentration | 1 mg/ml |
| Expiration Date | 12 months from date of receipt. |
| Disclaimer | For research use only |
Alternative Names
−Similar Products
−KLKB1 Rabbit Polyclonal Antibody [orb13526]
ELISA, IHC-P, WB
Human, Mouse, Porcine, Rat
Rabbit
Polyclonal
Unconjugated
100 μgPSA Antibody (Center) [orb1929985]
FC, IHC-P, WB
Mouse
Human, Mouse, Rat
Rabbit
Polyclonal
Unconjugated
100 μl, 50 μlPLAG1 Rabbit Polyclonal Antibody [orb1291520]
IF, IHC-Fr, IHC-P, WB
Bovine, Canine, Equine, Porcine, Rat
Human, Mouse
Rabbit
Polyclonal
Unconjugated
50 μl, 200 μl, 100 μlProstate Specific Antigen Mouse Monoclonal Antibody [orb1152046]
ELISA, IF, IHC-Fr, IHC-P, WB
Human
Human
Mouse
Monoclonal
Unconjugated
200 μg, 100 μl, 50 μl, 200 μlPSAT1 Rabbit Polyclonal Antibody [orb330478]
IHC, WB
Bovine, Canine, Equine, Guinea pig, Mouse, Rabbit, Rat, Zebrafish
Human
Rabbit
Polyclonal
Unconjugated
100 μl

Quality Guarantee
Explore bioreagents carefree to elevate your research. All our products are rigorously tested for performance. If a product does not perform as described on its datasheet, our scientific support team will provide expert troubleshooting, a prompt replacement, or a refund. For full details, please see our Terms & Conditions and Buying Guide. Contact us at support@biorbyt.com.

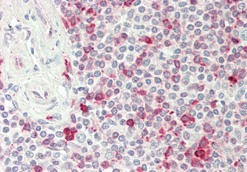
Immunohistochemistry staining of prostate (paraffin-embedded sections) with anti-human Prostate-specific antigen (A67-B/E3).

Immunohistochemistry staining of human prostate (paraffin-embedded sections) with anti-PSA (A67-B/E3), 10 µg/ml.

Western blotting analysis of human PSA using mouse monoclonal antibody A67-B/E3 on human seminal plasma under reducing conditions. Nitrocellulose membrane was probed with 5 µg/ml of mouse anti-PSA monoclonal antibody followed by IRDye800-conjugated anti-mouse secondary antibody. PSA was detected at approximately 30 kDa.
Documents Download
Request a Document
Protocol Information
PSA Antibody (orb43636)
Participating in our Biorbyt product reviews program enables you to support fellow scientists by sharing your firsthand experience with our products.
Login to Submit a Review

























