You have no items in your shopping cart.
Description
Research Area
Cell Biology, Epigenetics & Chromatin, Protein Biochemistry
Images & Validation
−Item 1 of 1
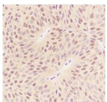
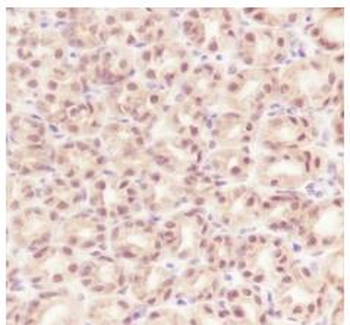
| Tested Applications | FC, ICC, IF, IHC, IP, WB |
|---|---|
| Dilution Range | WB 1:500-2000 IHC 1:50-200 ICC/IF 1:50-200 IP 1:20 FC 1:20 |
| Reactivity | Human, Mouse, Rat |
Key Properties
−| Antibody Type | Primary Antibody |
|---|---|
| Host | Rabbit |
| Clonality | Monoclonal |
| Isotype | Rabbit IgG |
| Clone No. | ADCI-18 |
| Immunogen | A synthesized peptide derived from human ROC1 E3 ubiquitin ligase component of multiple cullin-RING-based E3 ubiquitin-protein ligase complexes which mediate the ubiquitination and subsequent proteasomal degradation of target proteins, including proteins involved in cell cycle progression, signal transduction, transcription and transcription-coupled nucleotide excision repair. |
| Target | E3 ubiquitin-protein ligase RBX1 |
| Molecular Weight | 40 kDa |
| Purification | Affinity-chromatography |
| Conjugation | Unconjugated |
Storage & Handling
−| Storage | Maintain refrigerated at 2-8°C for up to 2 weeks. For long term storage store at -20°C in small aliquots to prevent freeze-thaw cycles. |
|---|---|
| Form/Appearance | Liquid |
| Buffer/Preservatives | Rabbit IgG in stabilizing components, phosphate buffered saline, pH 7.4, 150mM NaCl, 0.02% sodium azide and 50% glycerol. *This antibody is supplied in a stabilized formulation. Compatibility with conjugation reactions depends on the chemistry of the conjugation method used. For conjugation methods that are not compatible with the stabilizing components present in this formulation, a carrier-free antibody format is required. |
| Concentration | 0.5mg/ml |
| Expiration Date | 12 months from date of receipt. |
| Disclaimer | For research use only |
Alternative Names
−Signal transducer and activator of transcription 6; IL-4 Stat; STAT6
Similar Products
−RBX1 Recombinant Rabbit Monoclonal Antibody [orb1499278]
FC, ICC, IF, IHC-Fr, IHC-P, WB
Mouse
Human, Mouse, Rat
Rabbit
Recombinant
Unconjugated
25 μl, 50 μl, 100 μlRbx1 Rabbit Monoclonal Antibody [orb2989197]
IF, WB
Human, Mouse, Rat
Rabbit
Monoclonal
Unconjugated
200 μl, 100 μl, 50 μl, 30 μl

Quality Guarantee
Explore bioreagents carefree to elevate your research. All our products are rigorously tested for performance. If a product does not perform as described on its datasheet, our scientific support team will provide expert troubleshooting, a prompt replacement, or a refund. For full details, please see our Terms & Conditions and Buying Guide. Contact us at support@biorbyt.com.

WB analysis of RBX1 expression in MCF7 Cell using anti-RBX1 antibody.
Quick Database Links
Gene Symbol
E3 ubiquitin-protein ligase RBX1
UniProt
UniProt Details
− No UniProt data available
Documents Download
Datasheet
Product Information
Request a Document
Protocol Information
WB
Western Blot (IB, immunoblot)
IHC
Immunohistochemistry
FC
Flow Cytometry
IF
Immunofluorescence
ICC
Immunocytochemistry
IP
Immunoprecipitation
ROC1 Rabbit Monoclonal Antibody (orb547355)
Based on 0 reviews
Participating in our Biorbyt product reviews program enables you to support fellow scientists by sharing your firsthand experience with our products.
Login to Submit a Review


