You have no items in your shopping cart.
RSK1/2/3 (Phospho-T573/570/577) Rabbit Polyclonal Antibody
Description
Research Area
Images & Validation
−| Tested Applications | IF, IHC, WB |
|---|---|
| Dilution Range | WB: 1-500:1000, IHC-P: 1-100:200, IF/ICC: 1-100:500 |
| Reactivity | Human, Mouse, Rat |
Key Properties
−| Antibody Type | Primary Antibody |
|---|---|
| Host | Rabbit |
| Clonality | Polyclonal |
| Immunogen | KLH-conjugated synthetic phosphopeptide corresponding to residues surrounding T573/570/577 of human RSK1/2/3 protein. The exact sequence is proprietary. |
| Target | RPS6KA1; RPS6KA2; RPS6KA3 |
| Purification | The antibody was purified by immunogen affinity chromatography. |
| Conjugation | Unconjugated |
Storage & Handling
−| Storage | Maintain refrigerated at 2-8°C for up to 2 weeks. For long term storage store at -20°C in small aliquots to prevent freeze-thaw cycles. |
|---|---|
| Form/Appearance | Liquid |
| Buffer/Preservatives | 0.42% Potassium phosphate, 0.87% Sodium chloride, pH 7.3, 30% glycerol, and 0.01% sodium azide. |
| Expiration Date | 12 months from date of receipt. |
| Disclaimer | For research use only |
Alternative Names
−
Quality Guarantee
Explore bioreagents carefree to elevate your research. All our products are rigorously tested for performance. If a product does not perform as described on its datasheet, our scientific support team will provide expert troubleshooting, a prompt replacement, or a refund. For full details, please see our Terms & Conditions and Buying Guide. Contact us at support@biorbyt.com.

Western blot analysis of RSK1/2/3 (Phospho-T573/570/577) expression in Hela (A), HepG2 (B) whole cell lysates. (Predicted band size: 82; 83 kD; Observed band size: 90 kD)

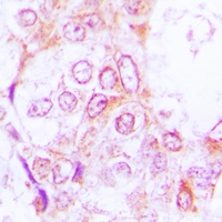
Immunohistochemical analysis of RSK1/2/3 (Phospho-T573/570/577) staining in human lung cancer formalin fixed paraffin embedded tissue section. The section was pre-treated using heat mediated antigen retrieval with sodium citrate buffer (Phospho-H 6.0). The section was then incubated with the antibody at room temperature and detected using an HRP conjugated compact polymer system. DAB was used as the chromogen. The section was then counterstained with haematoxylin and mounted with DPX.

Immunofluorescent analysis of RSK1/2/3 (Phospho-T573/570/577) staining in HeLa cells. Formalin-fixed cells were permeabilized with 0.1% Triton X-100 in TBS for 5-10 minutes and blocked with 3% BSA-PBS for 30 minutes at room temperature. Cells were probed with the primary antibody in 3% BSA-PBS and incubated overnight at 4 °C in a hidified chamber. Cells were washed with PBST and incubated with a DyLight 594-conjugated secondary antibody (red) in PBS at room temperature in the dark. DAPI was used to stain the cell nuclei (blue).
Documents Download
Request a Document
Protocol Information
RSK1/2/3 (Phospho-T573/570/577) Rabbit Polyclonal Antibody (orb315692)
Participating in our Biorbyt product reviews program enables you to support fellow scientists by sharing your firsthand experience with our products.
Login to Submit a Review