You have no items in your shopping cart.
STAT1 Antibody
Description
Research Area
Images & Validation
−| Tested Applications | IHC-P, IP, WB |
|---|---|
| Reactivity | Human, Mouse |
| Application Notes |
Key Properties
−| Antibody Type | Primary Antibody |
|---|---|
| Clonality | Monoclonal |
| Isotype | Mouse IgG2b |
| Clone No. | SM1 |
| Immunogen | STAT1 peptide sequence 721-733 (DNLLPMSPEEFDE). |
| Target | STAT1 |
| Purification | Purified by protein-A affinity chromatography. |
| Conjugation | Unconjugated |
Storage & Handling
−| Storage | Maintain refrigerated at 2-8°C for up to 2 weeks. For long term storage store at -20°C in small aliquots to prevent freeze-thaw cycles. |
|---|---|
| Buffer/Preservatives | Phosphate buffered saline (PBS), pH 7.4, 15 mM sodium azide |
| Concentration | 1 mg/ml |
| Expiration Date | 12 months from date of receipt. |
| Disclaimer | For research use only |
Alternative Names
−Similar Products
−Phospho-STAT1 (Ser727) Recombinant Rabbit Monoclonal Antibody [orb559173]
IF, IHC-Fr, IHC-P, WB
Mouse, Rat
Human, Mouse, Rat
Rabbit
Recombinant
Unconjugated
50 μl, 100 μl, 25 μlSTAT1 Rabbit Polyclonal Antibody [orb158504]
FC, ICC, IF, IHC-Fr, IHC-P, WB
Bovine, Canine, Equine, Porcine, Sheep
Human, Mouse, Rat
Rabbit
Polyclonal
Unconjugated
50 μl, 100 μl, 200 μlSTAT1 Antibody (C-term) [orb1932073]
FC, IF, IHC-P, WB
Human
Rabbit
Polyclonal
Unconjugated
100 μl, 50 μlSTAT1 Antibody [orb1240037]
ELISA, ICC, IF, IHC-P, IP, WB
Porcine
Human, Mouse, Rat
Rabbit
Polyclonal
Unconjugated
0.1 mg, 0.02 mgSTAT1 Mouse Monoclonal Antibody [orb546999]
FC, ICC, IF, IHC, WB
Human, Monkey
Mouse
Monoclonal
Unconjugated
100 μg

Quality Guarantee
Explore bioreagents carefree to elevate your research. All our products are rigorously tested for performance. If a product does not perform as described on its datasheet, our scientific support team will provide expert troubleshooting, a prompt replacement, or a refund. For full details, please see our Terms & Conditions and Buying Guide. Contact us at support@biorbyt.com.

Detection of Human phosphorylated STAT1[p Ser727] and total STAT1 by Western Blot. Western blot shows lysate of human malignant melanoma cells (short-term culture derived from a patient) in response to interferon treatment to induce phosphorylation of STAT1 at Ser727. Subconfluent cells were serum-starved before exposure to activation dosages of IFN-gamma (10 ng/ml) and IFN-alpha (1000 IU/ml and 5000 IU/ml). Specific band was detected for phosphorylated STAT1[Ser727] by the antibody PSM1 (upper panel) and total STAT1 level by the antibody SM1 (lower panel).

Western blotting analysis of human STAT1 using mouse monoclonal antibody SM1 on lysates of HeLa, MCF-7, and Cos-7 cell lines under reducing conditions. Nitrocellulose membrane was probed with 2 µg/ml of mouse monoclonal antibody anti-STAT1 followed by IRDye800-conjugated anti-mouse secondary antibody. STAT1 was detected at approximately 90 kDa.
Documents Download
Request a Document
Protocol Information
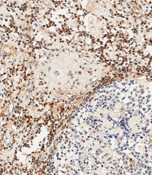
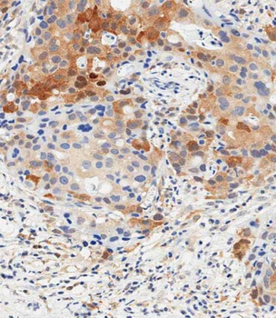
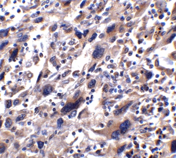
STAT1 Antibody (orb44490)
Participating in our Biorbyt product reviews program enables you to support fellow scientists by sharing your firsthand experience with our products.
Login to Submit a Review










































