You have no items in your shopping cart.
STAT3 (pY705) Antibody
Description
Images & Validation
−| Tested Applications | IHC, IP, WB |
|---|---|
| Dilution Range | WB: WB (1/500 - 1/1000), IH (1/100 - 1/200), IP (1/10 - 1/100) |
| Reactivity | Human, Mouse, Porcine, Rabbit, Rat, Virus |
Key Properties
−| Host | Rabbit |
|---|---|
| Clonality | Polyclonal |
| Clone No. | STAT3 |
| Conjugation | Unconjugated |
Storage & Handling
−| Storage | Maintain refrigerated at 2-8°C for up to 2 weeks. For long term storage store at -20°C in small aliquots to prevent freeze-thaw cycles. |
|---|---|
| Disclaimer | For research use only |
Alternative Names
−Similar Products
−Rabbit STAT3-pY705 Recombinant Monoclonal Antibody [orb1519410]
ICC, IHC, IP, WB
Human, Mouse
Rabbit
Recombinant
Unconjugated
100 μg (BSA-free)Rabbit STAT3-pY705 Recombinant Monoclonal Antibody [orb1519411]
ICC, IHC, IP, WB
Human, Mouse
Rabbit
Recombinant
Unconjugated
100 μl, 10 μl

Quality Guarantee
Explore bioreagents carefree to elevate your research. All our products are rigorously tested for performance. If a product does not perform as described on its datasheet, our scientific support team will provide expert troubleshooting, a prompt replacement, or a refund. For full details, please see our Terms & Conditions and Buying Guide. Contact us at support@biorbyt.com.

Western blot analysis of STAT3 (pY705) expression in mouse brain (A), H1792 (B) whole cell lysates.

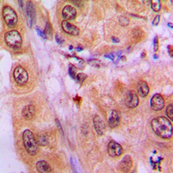
Immunohistochemical analysis of STAT3 (pY705) staining in human lung cancer formalin fixed paraffin embedded tissue section. The section was pre-treated using heat mediated antigen retrieval with sodium citrate buffer (pH6.0). The section was then incubated with the antibody at room temperature and detected using an HRP conjugated compact polymer system. DAB was used as the chromogen. The section was then counterstained with haematoxylin and mounted with DPX.
Quick Database Links
UniProt Details
−Documents Download
Request a Document
Protocol Information
STAT3 (pY705) Antibody (orb2650941)
Participating in our Biorbyt product reviews program enables you to support fellow scientists by sharing your firsthand experience with our products.
Login to Submit a Review




