You have no items in your shopping cart.
Survivin Birc5 Rabbit Monoclonal Antibody
Description
Research Area
Images & Validation
−| Tested Applications | IHC, IP, WB |
|---|---|
| Dilution Range | WB 1:500-2000 IHC 1:50-200 IP 1:30 |
| Reactivity | Mouse, Rat |
Key Properties
−| Antibody Type | Primary Antibody |
|---|---|
| Host | Rabbit |
| Clonality | Monoclonal |
| Isotype | Rabbit IgG |
| Clone No. | DGD-2 |
| Immunogen | A synthesized peptide derived from human Survivin |
| Target | Baculoviral IAP repeat-containing protein 5 |
| Molecular Weight | 125 kDa |
| Purification | Affinity-chromatography |
| Conjugation | Unconjugated |
Storage & Handling
−| Storage | Maintain refrigerated at 2-8°C for up to 2 weeks. For long term storage store at -20°C in small aliquots to prevent freeze-thaw cycles. |
|---|---|
| Form/Appearance | Liquid |
| Buffer/Preservatives | Rabbit IgG in phosphate buffered saline, pH 7.4, 150mM NaCl, 0.02% sodium azide and 50% glycerol, 0.4-0.5mg/ml rAlbumin. |
| Concentration | 0.5mg/ml |
| Expiration Date | 12 months from date of receipt. |
| Disclaimer | For research use only |
Alternative Names
−Similar Products
−Survivin Recombinant Rabbit Monoclonal Antibody [orb704378]
IF, IHC-Fr, IHC-P, WB
Rat
Human
Rabbit
Recombinant
Unconjugated
100 μl, 50 μlSurvivin BIRC5 Rabbit Monoclonal Antibody [orb547284]
FC, ICC, IF, IHC, IP, WB
Human
Rabbit
Monoclonal
Unconjugated
100 μlSurvivin Recombinant Rabbit Monoclonal Antibody [orb704377]
IF, IHC-Fr, IHC-P, WB
Mouse, Rat
Rabbit
Recombinant
Unconjugated
100 μl, 50 μl

Quality Guarantee
Explore bioreagents carefree to elevate your research. All our products are rigorously tested for performance. If a product does not perform as described on its datasheet, our scientific support team will provide expert troubleshooting, a prompt replacement, or a refund. For full details, please see our Terms & Conditions and Buying Guide. Contact us at support@biorbyt.com.

WB analysis of Survivin expression in Neuro-2a Cell.

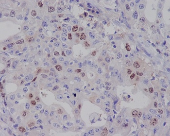
Immunohistochemical analysis of paraffin-embedded mouse colon tissue using anti-Survivin antibody.

Immunohistochemical analysis of paraffin-embedded mouse testis tissue using anti-Survivin antibody.
Quick Database Links
UniProt Details
−Documents Download
Request a Document
Protocol Information
Survivin Birc5 Rabbit Monoclonal Antibody (orb547285)
Participating in our Biorbyt product reviews program enables you to support fellow scientists by sharing your firsthand experience with our products.
Login to Submit a Review




