You have no items in your shopping cart.
UBB Rabbit Monoclonal Antibody
Description
Images & Validation
−| Tested Applications | IF, IHC, WB |
|---|---|
| Dilution Range | WB (1/500 - 1/1000), IH (1/50 - 1/100), IF/IC (1/50 - 1/100) |
| Reactivity | Human, Mouse, Rat |
Key Properties
−| Antibody Type | Primary Antibody |
|---|---|
| Host | Rabbit |
| Clonality | Monoclonal |
| Immunogen | A synthetic peptide of human Ubiquitin (linkage-specific K63) |
| Target | UBB |
| Purification | The antibody was purified by immunogen affinity chromatography. |
| Conjugation | Unconjugated |
Storage & Handling
−| Storage | Maintain refrigerated at 2-8°C for up to 2 weeks. For long term storage store at -20°C in small aliquots to prevent freeze-thaw cycles. |
|---|---|
| Form/Appearance | Liquid |
| Buffer/Preservatives | 50mM Tris-Glycine (pH 7.4), 0.15M NaCl, 50% Glycerol, 0.01% Sodium azide and 0.05% rAlbumin. |
| Expiration Date | 12 months from date of receipt. |
| Disclaimer | For research use only |
Alternative Names
−Similar Products
−Ubiquitin UBB Rabbit Monoclonal Antibody [orb548118]
FC, ICC, IF, IHC, WB
Human, Mouse, Rat
Rabbit
Monoclonal
Unconjugated
100 μlUBB Antibody [orb607784]
IHC, WB
Human
Rabbit
Monoclonal
Unconjugated
20 μg, 100 μg, 100 μg (without BSA and Azide)ECM1 Rabbit Monoclonal Antibody [orb866574]
FC, ICC, IF, IHC, IP, WB
Human, Mouse, Rat
Rabbit
Monoclonal
Unconjugated
100 μlPSB9/LMP2 Rabbit Monoclonal Antibody [orb548121]
FC, ICC, IF, WB
Human, Mouse, Rat
Rabbit
Monoclonal
Unconjugated
100 μl

Quality Guarantee
Explore bioreagents carefree to elevate your research. All our products are rigorously tested for performance. If a product does not perform as described on its datasheet, our scientific support team will provide expert troubleshooting, a prompt replacement, or a refund. For full details, please see our Terms & Conditions and Buying Guide. Contact us at support@biorbyt.com.

Western blot analysis of UBB expression in Hela (A), A549 (B) whole cell lysates. (Predicted band size: 26 kD; Observed band size: 8 kD)

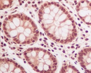
Immunohistochemical analysis of UBB staining in human colon cancer formalin fixed paraffin embedded tissue section. The section was pre-treated using heat mediated antigen retrieval with sodium citrate buffer (pH 6.66). The section was then incubated with the antibody at room temperature and detected using an HRP conjugated compact polymer system. DAB was used as the chromogen. The section was then counterstained with haematoxylin and mounted with DPX.

Immunofluorescent analysis of UBB staining in HeLa cells. Formalin-fixed cells were permeabilized with 0.1% Triton X-100 in TBS for 5-10 minutes and blocked with 3% BSA-PBS for 30 minutes at room temperature. Cells were probed with the primary antibody in 3% BSA-PBS and incubated overnight at 4 °C in a hidified chamber. Cells were washed with PBST and incubated with a AF488-conjugated secondary antibody (green) in PBS at room temperature in the dark.
Documents Download
Request a Document
Protocol Information
UBB Rabbit Monoclonal Antibody (orb1474418)
Participating in our Biorbyt product reviews program enables you to support fellow scientists by sharing your firsthand experience with our products.
Login to Submit a Review




