You have no items in your shopping cart.
UBE2B Antibody
Description
Research Area
Images & Validation
−| Tested Applications | WB |
|---|---|
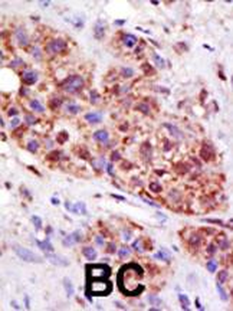
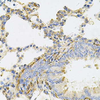
| Dilution Range | WB: 1:500-1:2000, IHC-P: 1:50-1:200 |
| Reactivity | Human, Mouse, Rat |
Key Properties
−| Antibody Type | Primary Antibody |
|---|---|
| Host | Rabbit |
| Clonality | Polyclonal |
| Immunogen | Recombinant fusion protein of human UBE2B |
| Purification | The antibody was purified by immunogen affinity chromatography. |
| Conjugation | Unconjugated |
Storage & Handling
−| Storage | Maintain refrigerated at 2-8°C for up to 2 weeks. For long term storage store at -20°C in small aliquots to prevent freeze-thaw cycles. |
|---|---|
| Form/Appearance | Liquid in 0.42% Potassium phosphate, 0.87% Sodium chloride, pH 7.3, 30% glycerol, and 0.01% sodium azide. |
| Expiration Date | 12 months from date of receipt. |
| Disclaimer | For research use only |
Alternative Names
−Similar Products
−UBE2A/B rabbit pAb Antibody [orb766686]
ELISA, IF, IHC, WB
Human, Mouse, Rat
Polyclonal
Unconjugated
100 μl, 50 μlUBE2B Antibody (C-term) [orb1931725]
IHC-P, WB
Mouse, Rabbit, Rat
Human
Rabbit
Polyclonal
Unconjugated
400 μlUBE2B Antibody (C-term) [orb33697]
IHC-P, WB
Mouse, Rabbit, Rat
Human
Rabbit
Polyclonal
Unconjugated
80 μl

Quality Guarantee
Explore bioreagents carefree to elevate your research. All our products are rigorously tested for performance. If a product does not perform as described on its datasheet, our scientific support team will provide expert troubleshooting, a prompt replacement, or a refund. For full details, please see our Terms & Conditions and Buying Guide. Contact us at support@biorbyt.com.

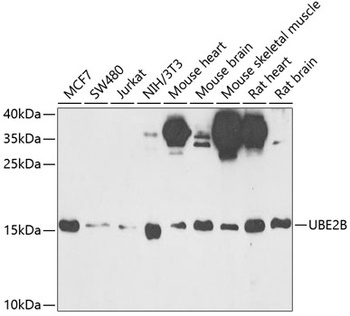
Western blot analysis of UBE2B expression in Jurkat (A), NIH3T3 (B), mouse heart (C), rat heart (D), rat brain (E) whole cell lysates. (Predicted band size: 17 kD; Observed band size: 16 kD)
Documents Download
Request a Document
UBE2B Antibody (orb341038)
Participating in our Biorbyt product reviews program enables you to support fellow scientists by sharing your firsthand experience with our products.
Login to Submit a Review














