You have no items in your shopping cart.
APBB1 Rabbit Polyclonal Antibody
Description
Research Area
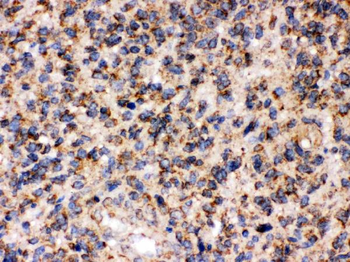
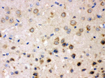
Images & Validation
−| Tested Applications | WB |
|---|---|
| Reactivity | Human |
| Predicted Reactivity | Human |
Key Properties
−| Host | Rabbit |
|---|---|
| Clonality | Polyclonal |
| Immunogen | The immunogen is a synthetic peptide directed towards the N-terminal region of Human APBB1 |
| Target | APBB1 |
| Protein Sequence | Synthetic peptide located within the following region: QALTDGPREHSKSASLLFGMRNSAASDEDSSWATLSQGSPSYGSPEDTDS |
| Molecular Weight | 78kDa |
| Purification | Affinity purified |
| Conjugation | Unconjugated |
Storage & Handling
−| Storage | Maintain refrigerated at 2-8°C for up to 2 weeks. For long term storage store at -20°C in small aliquots to prevent freeze-thaw cycles. |
|---|---|
| Buffer/Preservatives | Liquid. Purified antibody supplied in 1x PBS buffer with 0.09% (w/v) sodium azide and 2% sucrose. |
| Concentration | 0.5 mg/ml |
| Expiration Date | 12 months from date of receipt. |
| Disclaimer | For research use only |
Alternative Names
−Similar Products
−FE65 Rabbit Polyclonal Antibody [orb10647]
IF, IHC-Fr, IHC-P, WB
Human, Rabbit
Mouse, Rat
Rabbit
Polyclonal
Unconjugated
100 μl, 200 μl, 50 μlFE65/APBB1 Rabbit Polyclonal Antibody [orb316547]
IHC, WB
Human, Mouse, Rat
Rabbit
Polyclonal
Unconjugated
100 μgPhospho-APBB1 (Ser347) Rabbit Polyclonal Antibody [orb506144]
IF, IHC-Fr, IHC-P, WB
Bovine, Canine, Equine, Porcine, Rabbit
Human, Mouse, Rat
Rabbit
Polyclonal
Unconjugated
50 μl, 100 μl, 200 μlRIAM/APBB1IP Rabbit Polyclonal Antibody [orb97086]
FC, ICC, IF, IHC, IHC-Fr, WB
Human, Mouse, Rat
Rabbit
Polyclonal
Unconjugated
100 μg

Quality Guarantee
Explore bioreagents carefree to elevate your research. All our products are rigorously tested for performance. If a product does not perform as described on its datasheet, our scientific support team will provide expert troubleshooting, a prompt replacement, or a refund. For full details, please see our Terms & Conditions and Buying Guide. Contact us at support@biorbyt.com.

Sample Type: MCF7 Whole Cell lysates, Antibody Dilution: 1.0 ug/ml.
Quick Database Links
UniProt Details
−Documents Download
Request a Document
APBB1 Rabbit Polyclonal Antibody (orb588560)
Participating in our Biorbyt product reviews program enables you to support fellow scientists by sharing your firsthand experience with our products.
Login to Submit a Review














