You have no items in your shopping cart.
APLF Antibody
SKU: orb672699
Description
Research Area
Epigenetics & Chromatin
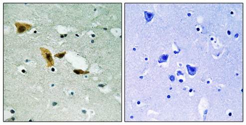
Images & Validation
−Item 1 of 1
| Tested Applications | ELISA, IHC, WB |
|---|---|
| Dilution Range | WB: 1:500-1:2000, IHC-P: 1:100-1:300, ELISA: 1:40000 |
| Reactivity | Human, Mouse |
Key Properties
−| Host | Rabbit |
|---|---|
| Clonality | Polyclonal |
| Isotype | IgG |
| Immunogen | Synthesized peptide derived from Human APLF around the non-phosphorylation site of S116. |
| Target | APLF |
| Purification | The antibody was affinity-purified from rabbit antiserum by affinity-chromatography using epitope-specific immunogen. |
| Conjugation | Unconjugated |
Storage & Handling
−| Storage | Maintain refrigerated at 2-8°C for up to 2 weeks. For long term storage store at -20°C in small aliquots to prevent freeze-thaw cycles. |
|---|---|
| Form/Appearance | Liquid |
| Buffer/Preservatives | Liquid in PBS containing 50% glycerol, 0.5% rAlbumin and 0.02% sodium azide. |
| Expiration Date | 12 months from date of receipt. |
| Disclaimer | For research use only |
Alternative Names
−Anti-APLF antibody, anti-C2orf13 antibody, anti-PALF antibody, anti-XIP1 antibody, anti-Aprataxin and PNK-like factor antibody, anti-Apurinic-apyrimidinic endonuclease APLF antibody, anti-PNK and APTX-like FHA domain-containing protein antibody, anti-XRCC1-interacting protein 1 antibody
Similar Products
−APLF rabbit pAb Antibody [orb767979]
ELISA, IF, IHC, WB
Human, Mouse
Polyclonal
Unconjugated
100 μl, 50 μlAPLF (Ab-116) Antibody [orb126666]
IHC, WB
Human, Mouse
Rabbit
Polyclonal
Unconjugated
25 μg, 50 μg, 100 μg, 200 μg

Quality Guarantee
Explore bioreagents carefree to elevate your research. All our products are rigorously tested for performance. If a product does not perform as described on its datasheet, our scientific support team will provide expert troubleshooting, a prompt replacement, or a refund. For full details, please see our Terms & Conditions and Buying Guide. Contact us at support@biorbyt.com.

Western blot analysis of HT-29 cells using APLF antibody
Quick Database Links
Gene Symbol
APLF
UniProt
UniProt Details
− No UniProt data available
Documents Download
Datasheet
Product Information
Request a Document
Protocol Information
WB
Western Blot (IB, immunoblot)
IHC
Immunohistochemistry
ELISA
Enzyme-linked Immunosorbent Assay (EIA)
APLF Antibody (orb672699)
Based on 0 reviews
Participating in our Biorbyt product reviews program enables you to support fellow scientists by sharing your firsthand experience with our products.
Login to Submit a Review











