You have no items in your shopping cart.
Aquaporin 2 antibody
Description
Images & Validation
−| Tested Applications | ICC, IF, IHC-P, WB |
|---|---|
| Dilution Range | WB: 1:200-2000, IHC-P: 1:100-800, IF/ICC: 1:100-800 |
| Reactivity | Guinea pig, Human, Mouse, Porcine, Rat |
Key Properties
−| Host | Rabbit |
|---|---|
| Clonality | Polyclonal |
| Isotype | IgG |
| Immunogen | KLH conjugated synthetic peptide derived from human Aquaporin 2. Please contact us for the exact immunogen sequence. The peptide is available as orb12880. |
| Target | Aquaporin 2 |
| Molecular Weight | 29 kDa |
| Purity | Polyclonal antibodies are purified by peptide affinity chromatography |
| Conjugation | Unconjugated |
Storage & Handling
−| Storage | Maintain refrigerated at 2-8°C for up to 2 weeks. For long term storage store at -20°C in small aliquots to prevent freeze-thaw cycles. |
|---|---|
| Form/Appearance | 10 mM PBS, 0.02% sodium azide |
| Concentration | - 100 μg (in 200 μl): 0.5 mg/ml- 200 μg (in 400 μl): 0.5 mg/ml |
| Expiration Date | 12 months from date of receipt. |
| Disclaimer | For research use only |
Alternative Names
−Similar Products
−Aquaporin 4 Rabbit Polyclonal Antibody [orb501006]
FC, IF, IHC-Fr, IHC-P, WB
Bovine, Porcine, Rabbit, Sheep
Human, Mouse, Rat
Rabbit
Polyclonal
Unconjugated
50 μl, 100 μl, 200 μlAQP4 Recombinant Rabbit Monoclonal Antibody [orb2563057]
IF, IHC-Fr, IHC-P
Mouse, Rat
Human, Mouse, Rat
Rabbit
Recombinant
Unconjugated
25 μl, 50 μl, 100 μlAQP2 rabbit pAb Antibody [orb764563]
ELISA, IF, IHC, WB
Canine, Human, Monkey, Mouse, Rat
Polyclonal
Unconjugated
100 μl, 50 μlAquaporin 4 Mouse Monoclonal Antibody [orb500889]
IF, IHC-Fr, IHC-P
Mouse, Rat
Human, Mouse, Rat
Mouse
Monoclonal
Unconjugated
200 μg, 50 μl, 200 μl, 100 μlPhospho-AQP2 (Ser256) Rabbit Polyclonal Antibody [orb155711]
IF, IHC-Fr, IHC-P, WB
Bovine, Equine, Gallus, Monkey, Mouse, Porcine, Rabbit, Rat
Canine, Human
Rabbit
Polyclonal
Unconjugated
100 μl, 50 μl, 200 μl

Quality Guarantee
Explore bioreagents carefree to elevate your research. All our products are rigorously tested for performance. If a product does not perform as described on its datasheet, our scientific support team will provide expert troubleshooting, a prompt replacement, or a refund. For full details, please see our Terms & Conditions and Buying Guide. Contact us at support@biorbyt.com.

Immunofluorescence image of pig kidney tissue using anti-Aquaporin 2 (2.5 ug/ml)

Western blot analysis of rat kidney (lane 1), mouse kidney (lane 2), mouse heart (lane 3), hela cells (lane 4), 293t cells (lane 5) using Aquaporin 2 antibody (1 ug/ml)

IHC-P image of mouse heart tissue using Aquaporin 2 antibody (2.5 ug/ml)

IF image of pig kidney tissue using Aquaporin 2 antibody (2.5 ug/ml)

IHC-P image of rat kidney tissue using anti-Aquaporin 2 (2.5 ug/ml)

IHC-P image of pig kidney tissue using anti-Aquaporin 2 (2.5 ug/ml)

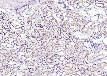
Immunohistochemical staining of paraffin embedded guinea pig kidney tissue using Aquaporin 2 antibody (2.5 ug/ml)
UniProt Details
−NCBI Gene Details
−NCBI Reference Sequences
−| RefSeq | 000477 |
|---|
Documents Download
Request a Document
Protocol Information
Julia C. Fox, Susanne T. Hahnenstein, Fatima Hassan, Andrea Grund, Dieter Haffner, Wolfgang H. Ziegler Defects of renal tubular homeostasis and cystogenesis in the Pkhd1-knockout iScience, 109487, (2024)
Aquaporin 2 antibody (orb10123)
Participating in our Biorbyt product reviews program enables you to support fellow scientists by sharing your firsthand experience with our products.
Login to Submit a Review






















