You have no items in your shopping cart.
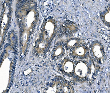
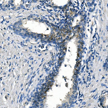
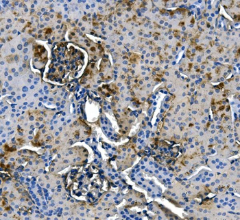
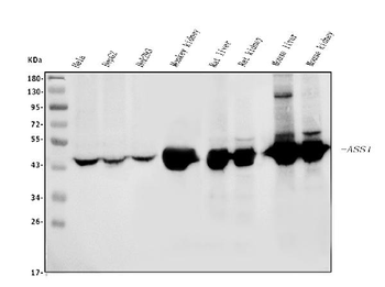
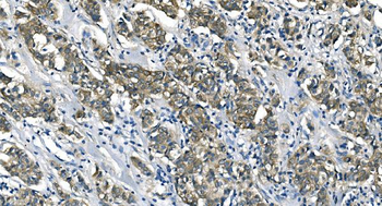
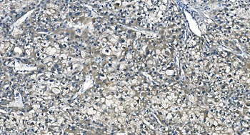
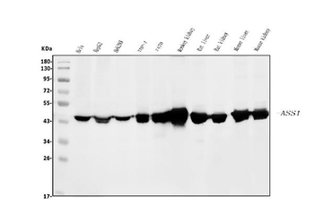
ASS1 Antibody
SKU: orb1319724
Description
Images & Validation
−
| Tested Applications | MS |
|---|---|
| Reactivity | Human, Mouse, Rat |
Key Properties
−| Antibody Type | Primary Antibody |
|---|---|
| Host | Rabbit |
| Clonality | Monoclonal |
| Isotype | IgG |
| Clone No. | OTIR3F5 |
| Immunogen | Synthetic peptide (the amino acid sequence is considered to be commercially sensitive) within Human ASS1 (NP_446464). The exact sequence is proprietary. |
| Target | ASS1 |
| Molecular Weight | 46.3 kDa |
| Conjugation | Unconjugated |
Storage & Handling
−| Storage | Maintain refrigerated at 2-8°C for up to 2 weeks. For long term storage store at -20°C in small aliquots to prevent freeze-thaw cycles. |
|---|---|
| Disclaimer | For research use only |
Similar Products
−ASS1 Antibody (monoclonal, 5I5) [orb692228]
FC, ICC, IF, IHC, WB
Human, Monkey, Mouse, Rat
Mouse
Monoclonal
Unconjugated
100 μgASS1 Antibody (monoclonal, 7I9) [orb692229]
FC, ICC, IF, IHC, WB
Human, Monkey, Mouse, Rat
Mouse
Monoclonal
Unconjugated
100 μgHuman Argininosuccinate Synthetase 1 (ASS1) ELISA Kit [orb777485]
Human
1.57-100 ng/mL
0.59 ng/mL
48 T, 96 TRat Argininosuccinate Synthetase 1 (ASS1) ELISA Kit [orb782280]
Rat
1.57-100 ng/mL
0.57 ng/mL
48 T, 96 T

Quality Guarantee
Explore bioreagents carefree to elevate your research. All our products are rigorously tested for performance. If a product does not perform as described on its datasheet, our scientific support team will provide expert troubleshooting, a prompt replacement, or a refund. For full details, please see our Terms & Conditions and Buying Guide. Contact us at support@biorbyt.com.
Documents Download
Datasheet
Product Information
Request a Document
Protocol Information
ASS1 Antibody (orb1319724)
Based on 0 reviews
Participating in our Biorbyt product reviews program enables you to support fellow scientists by sharing your firsthand experience with our products.
Login to Submit a Review





















