You have no items in your shopping cart.
ATG3 Antibody
Description
Images & Validation
−| Tested Applications | ELISA, IF, IHC, WB |
|---|---|
| Dilution range | WB:1:500-1:5000, IHC-P:1:1000-1:2000, IF:1:200-1:500 |
| Reactivity | Human |
Key Properties
−| Host | Rabbit |
|---|---|
| Clonality | Polyclonal |
| Isotype | IgG |
| Immunogen | Recombinant Human Ubiquitin-like-conjugating enzyme ATG3 protein (1-314AA) |
| Target | GFP Mouse Polyclonal |
| Purification | >95%, Protein G purified |
| Conjugation | Unconjugated |
Storage & Handling
−| Storage | Maintain refrigerated at 2-8°C for up to 2 weeks. For long term storage store at -20°C in small aliquots to prevent freeze-thaw cycles. |
|---|---|
| Form/Appearance | Liquid |
| Buffer/Preservatives | Preservative: 0.03% Proclin 300. Constituents: 50% Glycerol |
| Disclaimer | For research use only |
Alternative Names
−Similar Products
−ATG3 Rabbit Polyclonal Antibody [orb584212]
WB
Bovine, Canine, Equine, Guinea pig, Mouse, Rabbit, Rat
Human
Rabbit
Polyclonal
Unconjugated
100 μl

Quality Guarantee
Explore bioreagents carefree to elevate your research. All our products are rigorously tested for performance. If a product does not perform as described on its datasheet, our scientific support team will provide expert troubleshooting, a prompt replacement, or a refund. For full details, please see our Terms & Conditions and Buying Guide. Contact us at support@biorbyt.com.

Western blot analysis of K562 whole cell lysate using Ubiquitin-like-conjugating enzyme ATG3 antibody

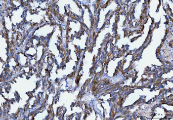
Immunohistochemical staining of human colon cancer using Ubiquitin-like-conjugating enzyme ATG3 antibody

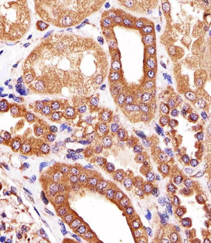
Immunohistochemical staining of human kidney tissue using Ubiquitin-like-conjugating enzyme ATG3 antibody

Immunofluorescence analysis of Hela cells using Ubiquitin-like-conjugating enzyme ATG3 antibody

Immunohistochemical staining of human kidney tissue using Ubiquitin-like-conjugating enzyme ATG3 antibody

Immunohistochemical staining of human colon cancer using Ubiquitin-like-conjugating enzyme ATG3 antibody

Western blot analysis of K562 whole cell lysate(lane 1), Hela whole cell lysate(lane 2), Jurkat whole cell lysate(lane 3), PC-3 whole cell lysate(lane 4) using Ubiquitin-like-conjugating enzyme ATG3 antibody
Quick Database Links
UniProt Details
−Documents Download
Request a Document
Protocol Information
ATG3 Antibody (orb238289)
Participating in our Biorbyt product reviews program enables you to support fellow scientists by sharing your firsthand experience with our products.
Login to Submit a Review













