You have no items in your shopping cart.
ATG7 Antibody
Description
Research Area
Images & Validation
−| Tested Applications | ELISA, IF, IHC, WB |
|---|---|
| Dilution Range | WB:1:200-5000, IHC-P:1:20-200, IF:1:50-200 |
| Reactivity | Human |
Key Properties
−| Host | Rabbit |
|---|---|
| Clonality | Polyclonal |
| Isotype | IgG |
| Immunogen | Recombinant Human Ubiquitin-like modifier-activating enzyme ATG7 protein (386-676AA) |
| Target | ATG7 |
| Purification | >95%, Protein G purified |
| Conjugation | Unconjugated |
Storage & Handling
−| Storage | Maintain refrigerated at 2-8°C for up to 2 weeks. For long term storage store at -20°C in small aliquots to prevent freeze-thaw cycles. |
|---|---|
| Form/Appearance | Liquid |
| Buffer/Preservatives | Preservative: 0.03% Proclin 300. Constituents: 50% Glycerol |
| Expiration Date | 12 months from date of receipt. |
| Disclaimer | For research use only |
Alternative Names
−Similar Products
−ATG7 Rabbit Polyclonal Antibody [orb1819451]
ELISA, FC, ICC, IF, IHC, WB
Human
Rabbit
Polyclonal
Unconjugated
100 μgATG7 Antibody (C-term) [orb1933432]
IF, IHC-P, WB
Gallus, Rat
Human, Mouse
Rabbit
Polyclonal
Unconjugated
100 μl, 50 μlATG7 Rabbit Polyclonal Antibody [orb654295]
FC, IHC, WB
Human, Mouse, Rat
Rabbit
Polyclonal
Unconjugated
100 μgATG7 Antibody (N-term) [orb1933435]
IHC-P, WB
Rat
Human, Mouse
Rabbit
Polyclonal
Unconjugated
100 μl, 50 μl

Quality Guarantee
Explore bioreagents carefree to elevate your research. All our products are rigorously tested for performance. If a product does not perform as described on its datasheet, our scientific support team will provide expert troubleshooting, a prompt replacement, or a refund. For full details, please see our Terms & Conditions and Buying Guide. Contact us at support@biorbyt.com.

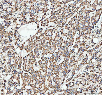
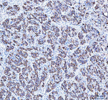
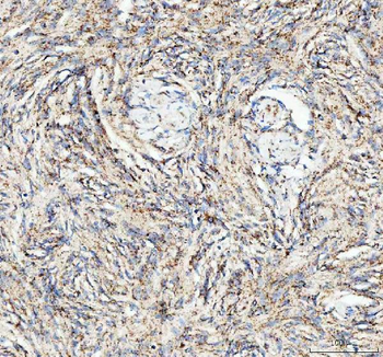
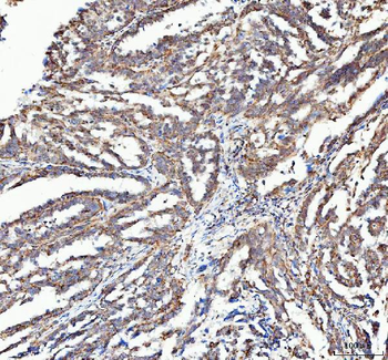
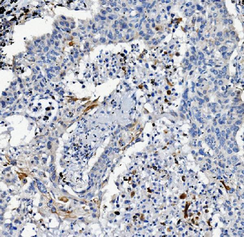
Immunohistochemical staining of human cervical cancer using ATG7 antibody

Immunofluorescence analysis of U251 cells using ATG7 antibody

Western blot analysis of HEK293 whole cell lysate using ATG7 antibody
Quick Database Links
UniProt Details
−Documents Download
Request a Document
Protocol Information
ATG7 Antibody (orb21296)
Participating in our Biorbyt product reviews program enables you to support fellow scientists by sharing your firsthand experience with our products.
Login to Submit a Review

























