You have no items in your shopping cart.
ATP5B Antibody
Description
Research Area
Images & Validation
−| Tested Applications | ELISA, IHC, WB |
|---|---|
| Dilution Range | WB:1:500-1:5000, IHC-P:1:50-1:200 |
| Reactivity | Human, Mouse, Rat |
Key Properties
−| Antibody Type | Recombinant Antibody |
|---|---|
| Host | Rabbit |
| Clonality | Monoclonal |
| Isotype | Rabbit IgG |
| Clone No. | 5F10 |
| Immunogen | A synthesized peptide derived from human ATPB |
| Target | ATP5B |
| Purification | Affinity-chromatography |
| Conjugation | Unconjugated |
Storage & Handling
−| Storage | Maintain refrigerated at 2-8°C for up to 2 weeks. For long term storage store at -20°C in small aliquots to prevent freeze-thaw cycles. |
|---|---|
| Form/Appearance | Liquid |
| Buffer/Preservatives | Rabbit IgG in phosphate buffered saline, pH 7.4, 150mM NaCl, 0.02% sodium azide and 50% glycerol. |
| Expiration Date | 12 months from date of receipt. |
| Disclaimer | For research use only |
Alternative Names
−Similar Products
−ATP5F1B Rabbit Polyclonal Antibody [orb1173501]
ELISA, FC, ICC, IF, IHC, WB
Human, Mouse, Rat
Rabbit
Polyclonal
Unconjugated
100 μgATP5B Antibody (Center) [orb1931307]
FC, IF, IHC-P, WB
Bovine, Mouse, Rat
Human
Rabbit
Polyclonal
Unconjugated
100 μl, 50 μlATP5F1B Rabbit Polyclonal Antibody [orb580321]
IHC, WB
Bovine, Canine, Equine, Porcine, Rabbit, Yeast, Zebrafish
Human, Mouse, Rat
Rabbit
Polyclonal
Unconjugated
100 μlRat ATPase, H+ Transporting, Mitochondrial F1 Complex Beta Polypeptide (ATP5b) ELISA Kit [orb781201]
Rat
3.13-200 ng/mL
1.19 ng/mL
96 T, 48 T

Quality Guarantee
Explore bioreagents carefree to elevate your research. All our products are rigorously tested for performance. If a product does not perform as described on its datasheet, our scientific support team will provide expert troubleshooting, a prompt replacement, or a refund. For full details, please see our Terms & Conditions and Buying Guide. Contact us at support@biorbyt.com.

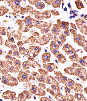
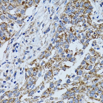
Immunohistochemical staining of human liver tissue using ATP5B antibody

Western blot analysis of 293T whole cell lysate, HT29 whole cell lysate, HepG2 whole cell lysate, Jurkat whole cell lysate, 293 whole cell lysate, Rat Heart tissue, Mouse Heart tissue using ATP5B antibody

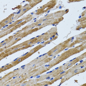
Immunohistochemical staining of human heart tissue using ATP5B antibody
Quick Database Links
UniProt Details
−Documents Download
Request a Document
Protocol Information
ATP5B Antibody (orb689050)
Participating in our Biorbyt product reviews program enables you to support fellow scientists by sharing your firsthand experience with our products.
Login to Submit a Review


































