You have no items in your shopping cart.
CTNNBIP1 Antibody
Description
Research Area
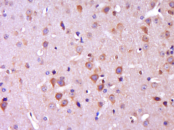
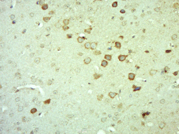
Images & Validation
−| Tested Applications | IHC-P |
|---|---|
| Dilution Range | IHC-P: Ready-to-use |
| Reactivity | Human |
Key Properties
−| Antibody Type | Primary Antibody |
|---|---|
| Host | Rabbit |
| Clonality | Monoclonal |
| Isotype | IgG |
| Clone No. | 415G1D6 |
| Target | CTNNBIP1 |
| Molecular Weight | 9170 |
| Conjugation | Unconjugated |
Storage & Handling
−| Storage | Maintain refrigerated at 2-8°C for up to 2 weeks. For long term storage store at -20°C in small aliquots to prevent freeze-thaw cycles |
|---|---|
| Expiration Date | 12 months from date of receipt. |
| Disclaimer | For research use only |
Alternative Names
−Similar Products
−LZIC Rabbit Polyclonal Antibody [orb1819486]
ELISA, FC, ICC, IF, IHC, IP, WB
Human, Mouse, Rat
Rabbit
Polyclonal
Unconjugated
100 μgLZIC Antibody [orb1880160]
FC, IF, WB
Human, Rat
Rabbit
Polyclonal
Unconjugated
30 μl, 50 μl, 200 μl, 100 μlCTNNBIP1 Rabbit Polyclonal Antibody [orb4461]
IF, IHC-Fr, IHC-P, WB
Bovine, Equine, Gallus, Rabbit, Rat
Human, Mouse
Rabbit
Polyclonal
Unconjugated
50 μl, 100 μl, 200 μl

Quality Guarantee
Explore bioreagents carefree to elevate your research. All our products are rigorously tested for performance. If a product does not perform as described on its datasheet, our scientific support team will provide expert troubleshooting, a prompt replacement, or a refund. For full details, please see our Terms & Conditions and Buying Guide. Contact us at support@biorbyt.com.

Colon cancer
Documents Download
Request a Document
CTNNBIP1 Antibody (orb736698)
Participating in our Biorbyt product reviews program enables you to support fellow scientists by sharing your firsthand experience with our products.
Login to Submit a Review














