You have no items in your shopping cart.
BLOC1S3 Antibody
Description
Research Area
Images & Validation
−| Tested Applications | IF, IHC |
|---|---|
| Reactivity | Human, Mouse, Rat |
| Application Notes |
Key Properties
−| Antibody Type | Primary Antibody |
|---|---|
| Host | Rabbit |
| Clonality | Polyclonal |
| Isotype | IgG |
| Immunogen | Recombinant fusion protein containing a sequence corresponding to amino acids 1-202 of human BLOC1S3 (NP_997715.1). |
| Target | BLOC1S3 |
| Purification | Affinity purification |
| Conjugation | Unconjugated |
Storage & Handling
−| Storage | Maintain refrigerated at 2-8°C for up to 2 weeks. For long term storage store at -20°C in small aliquots to prevent freeze-thaw cycles. |
|---|---|
| Form/Appearance | Liquid |
| Buffer/Preservatives | PBS with 0.02% sodium azide, 50% glycerol, pH 7.3. |
| Concentration | batch dependent |
| Expiration Date | 12 months from date of receipt. |
| Disclaimer | For research use only |
Alternative Names
−Similar Products
−BLOC1S3 Rabbit Polyclonal Antibody [orb326529]
WB
Bovine, Canine, Equine, Goat, Guinea pig, Mouse, Rat, Sheep, Zebrafish
Human
Rabbit
Polyclonal
Unconjugated
100 μl

Quality Guarantee
Explore bioreagents carefree to elevate your research. All our products are rigorously tested for performance. If a product does not perform as described on its datasheet, our scientific support team will provide expert troubleshooting, a prompt replacement, or a refund. For full details, please see our Terms & Conditions and Buying Guide. Contact us at support@biorbyt.com.

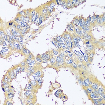
Immunohistochemistry of paraffin-embedded human colon using BLOC1S3 antibody (orb1254718) at dilution of 1:100 (40x lens).

Immunohistochemistry of paraffin-embedded human colon carcinoma using BLOC1S3 antibody (orb1254718) at dilution of 1:100 (40x lens).

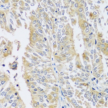
Immunohistochemistry of paraffin-embedded human breast cancer using BLOC1S3 antibody (orb1254718) at dilution of 1:100 (40x lens).

Immunohistochemistry of paraffin-embedded human uterine cancer using BLOC1S3 antibody (orb1254718) at dilution of 1:100 (40x lens).

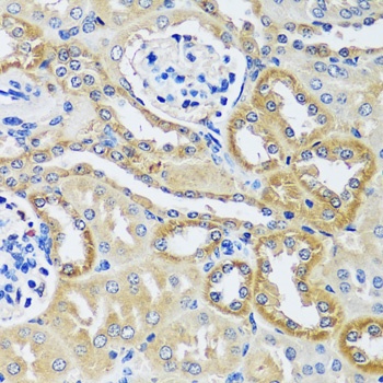
Immunohistochemistry of paraffin-embedded mouse testis using BLOC1S3 antibody (orb1254718) at dilution of 1:100 (40x lens).

Immunohistochemistry of paraffin-embedded mouse kidney using BLOC1S3 antibody (orb1254718) at dilution of 1:100 (40x lens).

Immunofluorescence analysis of NIH-3T3 cells using BLOC1S3 antibody (orb1254718) at dilution of 1:100. Blue: DAPI for nuclear staining.

Immunofluorescence analysis of U-2 OS cells using BLOC1S3 antibody (orb1254718) at dilution of 1:100. Blue: DAPI for nuclear staining.

Immunofluorescence analysis of C6 cells using BLOC1S3 antibody (orb1254718) at dilution of 1:100. Blue: DAPI for nuclear staining.

Immunofluorescence analysis of NIH-3T3 cells using ENO1 antibody (orb1258854) at dilution of 1:100. Blue: DAPI for nuclear staining.

Immunofluorescence analysis of U-2 OS cells using BLOC1S3 antibody (orb1254718) at dilution of 1:100. Blue: DAPI for nuclear staining.
Quick Database Links
UniProt Details
−Documents Download
Request a Document
Protocol Information
BLOC1S3 Antibody (orb1254718)
Participating in our Biorbyt product reviews program enables you to support fellow scientists by sharing your firsthand experience with our products.
Login to Submit a Review



