You have no items in your shopping cart.
BMP2 antibody
Description
Images & Validation
−| Tested Applications | ELISA, ICC, IF, IHC-P |
|---|---|
| Dilution range | WB: 1:200, IHC-P: 1:200, IF/ICC: 1:200 |
Key Properties
−| Host | Rabbit |
|---|---|
| Clonality | Polyclonal |
| Isotype | IgG |
| Immunogen | KLH conjugated synthetic peptide derived from human BMP2. Please contact us for the exact immunogen sequence. The peptide is available as orb374858. |
| Target | BMP2 |
| Molecular Weight | 13 kDa |
| Purity | Polyclonal antibodies are purified by peptide affinity chromatography |
| Conjugation | Unconjugated |
Storage & Handling
−| Storage | Maintain refrigerated at 2-8°C for up to 2 weeks. For long term storage store at -20°C in small aliquots to prevent freeze-thaw cycles. |
|---|---|
| Form/Appearance | 10 mM PBS, 0.02% sodium azide |
| Concentration | - 100 μg (in 200 μl): 0.5 mg/ml- 200 μg (in 400 μl): 0.5 mg/ml |
| Disclaimer | For research use only |
Alternative Names
−Similar Products
−BMP-2 Polyclonal Antibody [orb1411120]
IF, IHC-P, WB
Human, Mouse, Rat
Rabbit
Polyclonal
Unconjugated
100 μlPig Bone Morphogenetic Protein 2 (BMP2) ELISA Kit [orb779804]
Porcine
31.25-2000 pg/mL
13.1 pg/mL
96 T, 48 T

Quality Guarantee
Explore bioreagents carefree to elevate your research. All our products are rigorously tested for performance. If a product does not perform as described on its datasheet, our scientific support team will provide expert troubleshooting, a prompt replacement, or a refund. For full details, please see our Terms & Conditions and Buying Guide. Contact us at support@biorbyt.com.

IF analysis of mouse lung tissue using BMP2 antibody (dilution of primary antibody at 1:200)

Immunohistochemical staining of paraffin embedded mouse lung tissue using anti-BMP2 (primary antibody at 1:200)

Immunohistochemical staining of rat spleen tissue using anti-BMP2 (dilution of primary antibody - 1:200)

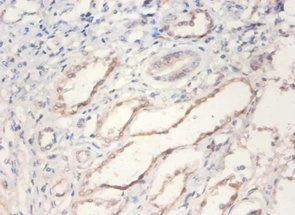
IHC-P staining of mouse lung tissue using anti-BMP2 (dilution at 1:200)

Immunohistochemical staining of mouse lung tissue using anti-BMP2 (dilution of primary antibody - 1:200)

IF analysis of mouse lung tissue using BMP2 antibody (dilution of primary antibody at 1:200)

Immunofluorescence image of mouse lung tissue using BMP2 antibody (dilution at 1:200)

IHC-P image of mouse lung tissue using BMP2 antibody (dilution of primary antibody at 1:200)

Immunofluorescence image of mouse lung tissue using BMP2 antibody (dilution at 1:200)

IHC-P image of rat lung tissue using BMP2 antibody (dilution of primary antibody at 1:200)

Immunohistochemical staining of mouse lung tissue using anti-BMP2 (dilution of primary antibody - 1:200)

IF image of mouse lung tissue using BMP2 antibody (primary antibody at 1:200)

IHC-P staining of mouse lung tissue using anti-BMP2 (dilution at 1:200)

Immunofluorescence analysis of mouse lung tissue using BMP2 antibody (dilution of primary antibody - 1:200)

Immunohistochemical staining of paraffin embedded rat spleen tissue using anti-BMP2 (primary antibody at 1:200)
Quick Database Links
Documents Download
Request a Document
Protocol Information
Filter by Applications
Filter by Species
Mericli, Filiz et al. Fatty acid composition and anticancer activity in colon carcinoma cell lines of Prunus dulcis seed oil Pharm Biol, 55, 1239-1248 (2017)
Applications
Reactivity
Choi, Gab-Chol et al. Entelon (vitis vinifera seed extract) reduces degenerative changes in bovine pericardium valve leaflet in a dog intravascular implant model PLoS One, 16, e0235454 (2021)
Applications
Reactivity
BMP2 antibody (orb251474)
Participating in our Biorbyt product reviews program enables you to support fellow scientists by sharing your firsthand experience with our products.
Login to Submit a Review























