You have no items in your shopping cart.
BRD3 Rabbit Polyclonal Antibody
Description
Research Area
Images & Validation
−| Tested Applications | IHC, WB |
|---|---|
| Reactivity | Human |
| Predicted Reactivity | Bovine, Canine, Equine, Guinea pig, Mouse, Rabbit, Rat, Zebrafish |
Key Properties
−| Host | Rabbit |
|---|---|
| Clonality | Polyclonal |
| Immunogen | The immunogen is a synthetic peptide directed towards the middle region of human BRD3 |
| Target | BRD3 |
| Protein Sequence | Synthetic peptide located within the following region: SGKKQAAKSKEELAQEKKKELEKRLQDVSGQLSSSKKPARKEKPGSAPSG |
| Molecular Weight | 80 kDa |
| Purification | Affinity Purified |
| Conjugation | Unconjugated |
Storage & Handling
−| Storage | Maintain refrigerated at 2-8°C for up to 2 weeks. For long term storage store at -20°C in small aliquots to prevent freeze-thaw cycles. |
|---|---|
| Buffer/Preservatives | Liquid. Purified antibody supplied in 1x PBS buffer with 0.09% (w/v) sodium azide and 2% sucrose. |
| Concentration | 0.5 mg/ml |
| Expiration Date | 12 months from date of receipt. |
| Disclaimer | For research use only |
Alternative Names
−Similar Products
−BRD3 Rabbit Polyclonal Antibody [orb625175]
ELISA, IHC, IP, WB
Human, Mouse, Rat
Rabbit
Polyclonal
Unconjugated
50 μg, 100 μgBRD3 Rabbit Polyclonal Antibody [orb214769]
IF, IHC, WB
Human, Mouse
Rabbit
Polyclonal
Unconjugated
30 μl, 100 μl, 200 μl, 50 μl

Quality Guarantee
Explore bioreagents carefree to elevate your research. All our products are rigorously tested for performance. If a product does not perform as described on its datasheet, our scientific support team will provide expert troubleshooting, a prompt replacement, or a refund. For full details, please see our Terms & Conditions and Buying Guide. Contact us at support@biorbyt.com.

25 ug of the indicated Human whole cell extracts was loaded onto a 12% SDS-PAGE gel. 2 ug/ml of the antibody was used in this experiment. An isoform containing the peptide sequence is present at 61 kDa.

Sample Type: Human Adult Placenta, Antibody dilution: 1.0 ug/ml.

Sample Type: Human Fetal Lung, Antibody dilution: 1.0 ug/ml.

Positive control (+): Human lung (LU), Negative control (-): HeLa (HL), Antibody concentration: 1 ug/ml.

Hum. Adult Placenta.

Hum. Fetal Lung.

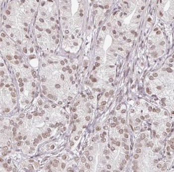
Immunohistochemistry with Testis tissue at an antibody concentration of 10 ug/ml using anti-BRD3 antibody (orb575083).

WB Suggested Anti-BRD3 Antibody Titration: 0.2-1 ug/ml, ELISA Titer: 1:1562500, Positive Control: Human brain.
Documents Download
Request a Document
Protocol Information
BRD3 Rabbit Polyclonal Antibody (orb575083)
Participating in our Biorbyt product reviews program enables you to support fellow scientists by sharing your firsthand experience with our products.
Login to Submit a Review










