You have no items in your shopping cart.
SMARCA4 Antibody / BRG1
Description
Images & Validation
−| Tested Applications | ELISA, IHC-P, WB |
|---|---|
| Dilution Range | ELISA (Order BSA-free format for coating),Western blot: 1-2ug/ml,Immunohistochemistry (FFPE): 1-2ug/ml for 30 min at RT |
| Reactivity | Human |
| Application Notes |
Key Properties
−| Antibody Type | Primary Antibody |
|---|---|
| Host | Rabbit |
| Clonality | Recombinant |
| Isotype | Rabbit IgG, kappa |
| Clone No. | BRG1/6531R |
| Immunogen | A recombinant partial protein sequence (within amino acids 200-400) from the human protein was used as the immunogen for the SMARCA4 antibody. |
| Purification | Protein A/G affinity |
| Conjugation | Unconjugated |
Storage & Handling
−| Storage | Maintain refrigerated at 2-8°C for up to 2 weeks. For long term storage store at -20°C in small aliquots to prevent freeze-thaw cycles. |
|---|---|
| Buffer/Preservatives | 1 mg/ml in 1X PBS; rAlbumin free, sodium azide free |
| Expiration Date | 12 months from date of receipt. |
| Disclaimer | For research use only |
Similar Products
−SMARCA4 Antibody [orb1240006]
ELISA, IF, IHC-P, WB
Bovine
Human, Mouse, Rat
Rabbit
Polyclonal
Unconjugated
0.02 mg, 0.1 mgSMARCA4 Antibody / BRG1 [orb1824834]
ELISA, IHC-P, WB
Human
Rabbit
Recombinant
Unconjugated
100 μg, 20 μgSMARCA4 Antibody / BRG1 [orb1824828]
ELISA, IHC-P, WB
Human
Rabbit
Recombinant
Unconjugated
100 μg, 20 μg

Quality Guarantee
Explore bioreagents carefree to elevate your research. All our products are rigorously tested for performance. If a product does not perform as described on its datasheet, our scientific support team will provide expert troubleshooting, a prompt replacement, or a refund. For full details, please see our Terms & Conditions and Buying Guide. Contact us at support@biorbyt.com.

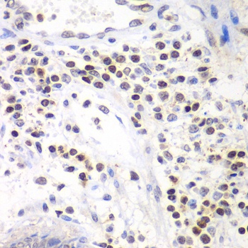
IHC staining of FFPE human ovarian small cell carcinoma with SMARCA4 antibody (clone BRG1/6531R). HIER: boil tissue sections in pH9 10 mM Tris with 1 mM EDTA for 20 min and allow to cool before testing.

IHC staining of FFPE human kidney tissue with SMARCA4 antibody (clone BRG1/6531R). HIER: boil tissue sections in pH9 10 mM Tris with 1 mM EDTA for 20 min and allow to cool before testing.

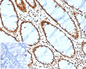
IHC staining of FFPE human colon tissue with SMARCA4 antibody (clone BRG1/6531R). Inset: PBS used in place of primary Ab (secondary Ab negative control). HIER: boil tissue sections in pH9 10 mM Tris with 1 mM EDTA for 20 min and allow to cool before testing.
Quick Database Links
UniProt Details
−Documents Download
Request a Document
Protocol Information
SMARCA4 Antibody / BRG1 (orb1824833)
Participating in our Biorbyt product reviews program enables you to support fellow scientists by sharing your firsthand experience with our products.
Login to Submit a Review














