You have no items in your shopping cart.
C19orf80 Antibody
Description
Images & Validation
−| Tested Applications | IHC |
|---|---|
| Dilution Range | IHC 1:150 |
| Reactivity | Human |
| Application Notes |
Key Properties
−| Antibody Type | Primary Antibody |
|---|---|
| Host | Mouse |
| Clonality | Monoclonal |
| Isotype | IgG1 |
| Clone No. | OTI4F1 |
| Immunogen | Human recombinant protein fragment corresponding to amino acids 22-198 of human C19ORF80(NP_061157) produced in E.coli. |
| Target | C19orf80 |
| Molecular Weight | 21.9 kDa |
| Conjugation | Unconjugated |
Storage & Handling
−| Storage | Maintain refrigerated at 2-8°C for up to 2 weeks. For long term storage store at -20°C in small aliquots to prevent freeze-thaw cycles. |
|---|---|
| Expiration Date | 12 months from date of receipt. |
| Disclaimer | For research use only |
Similar Products
−ANGPTL8 Mouse Monoclonal Antibody [orb544742]
WB
Mouse
Human
Mouse
Monoclonal
Unconjugated
200 μl, 50 μl, 100 μl, 200 μgMouse Angiopoietin Like Protein 8 (ANGPTL8) ELISA Kit [orb781922]
Mouse
15.63-1000 pg/mL
6.1 pg/mL
96 T, 48 TRat Angiopoietin Like Protein 8 (ANGPTL8) ELISA Kit [orb781998]
Rat
31.25-2000 pg/mL
12.3 pg/mL
96 T, 48 THuman Angiopoietin Like Protein 8 (ANGPTL8) ELISA Kit [orb781127]
Human
0.16-10 ng/mL
0.057 ng/mL
96 T, 48 TC19orf80 Antibody [orb1239052]
ELISA, IF, IHC-P, WB
Human, Mouse, Rat
Rabbit
Polyclonal
Unconjugated
0.1 mg, 0.02 mg

Quality Guarantee
Explore bioreagents carefree to elevate your research. All our products are rigorously tested for performance. If a product does not perform as described on its datasheet, our scientific support team will provide expert troubleshooting, a prompt replacement, or a refund. For full details, please see our Terms & Conditions and Buying Guide. Contact us at support@biorbyt.com.

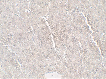
Immunohistochemical staining of paraffin-embedded Adenocarcinoma of Human endometrium tissue using C19orf80 (ANGPTL8) antibody
Documents Download
Request a Document
C19orf80 Antibody (orb1329743)
Participating in our Biorbyt product reviews program enables you to support fellow scientists by sharing your firsthand experience with our products.
Login to Submit a Review


















