You have no items in your shopping cart.
C1R antibody
Description
Images & Validation
−| Tested Applications | ELISA, IHC-P, WB |
|---|---|
| Dilution Range | WB: 1:100-1000, IHC-P: 1:100-800 |
| Reactivity | Human, Monkey, Mouse, Rat |
Key Properties
−| Host | Rabbit |
|---|---|
| Clonality | Polyclonal |
| Isotype | IgG |
| Immunogen | KLH conjugated synthetic peptide derived from human C1R. Please contact us for the exact immunogen sequence. The peptide is available as orb374838. |
| Target | C1R. Recognizes endogenous levels of Complement C1R LC protein. |
| Molecular Weight | 80 kDa |
| Purity | Polyclonal antibodies are purified by peptide affinity chromatography |
| Conjugation | Unconjugated |
Storage & Handling
−| Storage | Maintain refrigerated at 2-8°C for up to 2 weeks. For long term storage store at -20°C in small aliquots to prevent freeze-thaw cycles. |
|---|---|
| Form/Appearance | 10 mM PBS, 0.02% sodium azide |
| Concentration | - 100 μg (in 200 μl): 0.5 mg/ml- 200 μg (in 400 μl): 0.5 mg/ml |
| Expiration Date | 12 months from date of receipt. |
| Disclaimer | For research use only |
Alternative Names
−Similar Products
−Mouse Complement Component C1ra (C1ra) ELISA Kit [orb782687]
Mouse
0.16-10 ng/mL
0.061 ng/mL
48 T, 96 TCleaved-C1r LC (I464) rabbit pAb Antibody [orb763888]
ELISA, WB
Human, Mouse, Rat
Polyclonal
Unconjugated
100 μl, 50 μl

Quality Guarantee
Explore bioreagents carefree to elevate your research. All our products are rigorously tested for performance. If a product does not perform as described on its datasheet, our scientific support team will provide expert troubleshooting, a prompt replacement, or a refund. For full details, please see our Terms & Conditions and Buying Guide. Contact us at support@biorbyt.com.

IHC-P image of rat stomach tissue using anti-C1R (dilution of primary antibody at 2.5 ug/ml)

Western blot analysis of rat lymph node (lane 1), rat stomach (lane 2), mouse spleen (lane 3), rat pancreas (lane 4), rat ovary (lane 5) using C1R antibody (2.5 ug/ml)

Immunohistochemical staining of paraffin embedded mouse lymph node tissue using anti-C1R (primary antibody at 2.5 ug/ml)

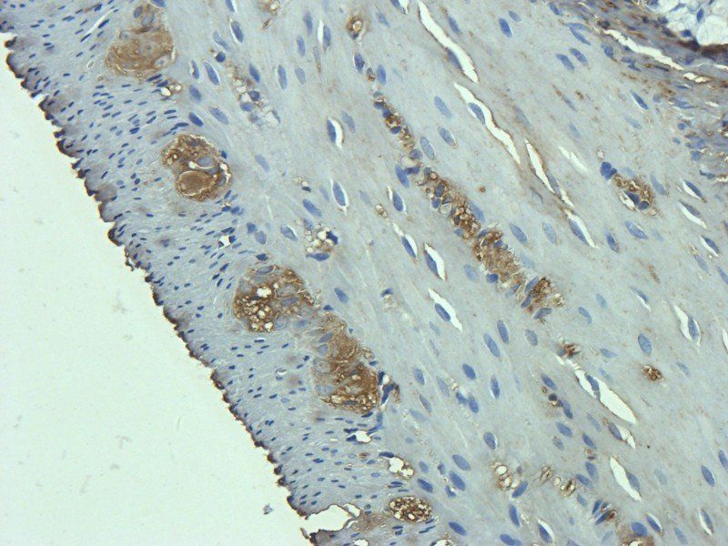
Immunohistochemical staining of rat colon muscle tissue using C1R antibody (dilution of primary antibody - 2.5 ug/ml)

IHC-P staining of rat stomach tissue using anti-C1R (dilution at 2.5 ug/ml)

Western blot analysis of extracts of mouse bone marrow using C1R antibody

IHC-P image of mouse lymph node tissue using anti-C1R (dilution of primary antibody at 2.5 ug/ml)
Quick Database Links
Documents Download
Request a Document
Protocol Information
C1R antibody (orb213623)
Participating in our Biorbyt product reviews program enables you to support fellow scientists by sharing your firsthand experience with our products.
Login to Submit a Review





