You have no items in your shopping cart.
Recombinant CALB2 Antibody / Calretinin
Description
Images & Validation
−| Tested Applications | IHC-P, WB |
|---|---|
| Dilution Range | Immunohistochemistry (FFPE): 1-2ug/ml for 30 min at RT,Western blot: 2-4ug/ml |
| Reactivity | Human |
| Application Notes |
Key Properties
−| Antibody Type | Primary Antibody |
|---|---|
| Host | Mouse |
| Clonality | Recombinant |
| Isotype | Mouse IgG1, kappa |
| Clone No. | rCALB2/7123 |
| Immunogen | A recombinant human protein fragment (within amino acids 23-242) was used as the immunogen for the recombinant CALB2 antibody. |
| Purification | Protein A affinity |
| Conjugation | Unconjugated |
Storage & Handling
−| Storage | Maintain refrigerated at 2-8°C for up to 2 weeks. For long term storage store at -20°C in small aliquots to prevent freeze-thaw cycles. |
|---|---|
| Buffer/Preservatives | 1 mg/ml in 1X PBS; rAlbumin free, sodium azide free |
| Expiration Date | 12 months from date of receipt. |
| Disclaimer | For research use only |
Similar Products
−Recombinant CALB2 Antibody / Calretinin [orb1825239]
IHC-P, WB
Human
Mouse
Recombinant
Unconjugated
100 μg, 20 μg

Quality Guarantee
Explore bioreagents carefree to elevate your research. All our products are rigorously tested for performance. If a product does not perform as described on its datasheet, our scientific support team will provide expert troubleshooting, a prompt replacement, or a refund. For full details, please see our Terms & Conditions and Buying Guide. Contact us at support@biorbyt.com.

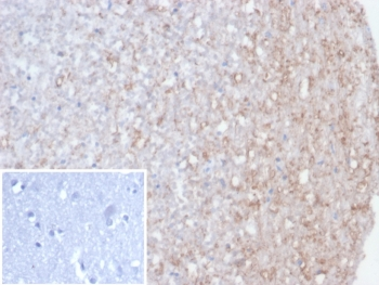
IHC staining of FFPE human brain tissue with recombinant CALB2 antibody (clone rCALB2/7123). Inset: PBS instead of primary (secondary negative control). HIER: boil tissue sections in pH9 10 mM Tris with 1 mM EDTA for 20 min and allow to cool before testing.
Quick Database Links
UniProt Details
−Documents Download
Request a Document
Protocol Information
Recombinant CALB2 Antibody / Calretinin (orb1825238)
Participating in our Biorbyt product reviews program enables you to support fellow scientists by sharing your firsthand experience with our products.
Login to Submit a Review