You have no items in your shopping cart.
Caspase-3 Rabbit Polyclonal Antibody
Description
Research Area
Images & Validation
−| Tested Applications | ELISA, WB |
|---|---|
| Dilution Range | WB=1:500-2000, ELISA=1:5000-10000 |
| Reactivity | Human, Mouse, Rat |
| Predicted Reactivity | Mouse, Rat |
Key Properties
−| Antibody Type | Primary Antibody |
|---|---|
| Host | Rabbit |
| Clonality | Polyclonal |
| Isotype | IgG |
| Immunogen | KLH conjugated synthetic peptide derived from human caspase-3 p17 subunit (80-175/277aa) |
| Target | CASP3 |
| Molecular Weight | 17/32 kDa |
| Purification | Affinity purified by Protein A |
| Conjugation | Unconjugated |
Storage & Handling
−| Storage | Maintain refrigerated at 2-8°C for up to 2 weeks. For long term storage store at -20°C in small aliquots to prevent freeze-thaw cycles. |
|---|---|
| Form/Appearance | Liquid |
| Buffer/Preservatives | 0.01M TBS (pH7.4) with 1% rAlbumin, 0.02% Proclin300 and 50% Glycerol. |
| Concentration | 1mg/ml |
| Expiration Date | 12 months from date of receipt. |
| Disclaimer | For research use only |
Alternative Names
−Similar Products
−Caspase 3 precursor Rabbit Polyclonal Antibody [orb13278]
ELISA, WB
Canine, Rabbit
Human, Mouse, Rat
Rabbit
Polyclonal
Unconjugated
50 μl, 100 μl, 200 μlCaspase-3 Polyclonal Antibody [orb1411566]
IF, IHC-P, WB
Human, Mouse, Rat
Rabbit
Polyclonal
Unconjugated
100 μlCleaved-Caspase-3 p12 (D175) Polyclonal Antibody [orb1416170]
IF, IHC-P, WB
Human
Rabbit
Polyclonal
Unconjugated
100 μlCaspase-3 (phospho Ser150) rabbit pAb Antibody [orb770574]
ELISA, IF, IHC, WB
Human, Mouse, Rat
Polyclonal
Unconjugated
100 μl, 50 μlCaspase-3 cleaved p17 Rabbit Polyclonal Antibody [orb1294355]
IF, IHC, WB
Human, Mouse, Rat
Rabbit
Polyclonal
Unconjugated
100 μl, 25 μl

Quality Guarantee
Explore bioreagents carefree to elevate your research. All our products are rigorously tested for performance. If a product does not perform as described on its datasheet, our scientific support team will provide expert troubleshooting, a prompt replacement, or a refund. For full details, please see our Terms & Conditions and Buying Guide. Contact us at support@biorbyt.com.

Sample: Lane 1: Raji (Human) Cell Lysate at 30 ug, Lane 2: NIH/3T3 (Mouse) Cell Lysate at 30 ug, Lane 3: Lung (Mouse) Lysate at 40 ug, Lane 4: Lung (Rat) Lysate at 40 ug, Primary: Anti-Caspase-3 (orb10237) at 1/1000 dilution, Secondary: IRDye800CW Goat Anti-Rabbit IgG at 1/20000 dilution, Predicted band size: 35 kD, Observed band size: 37 kD.

Sample: Lane 1: Spleen (Mouse) Lysate at 40 ug, Lane 2: Lung (Mouse) Lysate at 40 ug, Lane 3: Lymph node (Mouse) Lysate at 40 ug, Lane 4: Cerebrum (Mouse) Lysate at 40 ug, Lane 5: NIH/3T3 (Mouse) Cell Lysate at 30 ug, Lane 6: Spleen (Rat) Lysate at 40 ug, Lane 7: Lung (Rat) Lysate at 40 ug, Lane 8: Lymph node (Rat) Lysate at 40 ug, Lane 9: Cerebrum (Rat) Lysate at 40 ug, Lane 10: Hela (Human) Cell Lysate at 30 ug, Primary: Anti-Caspase-3 (orb10237) at 1/1000 dilution, Secondary: IRDye800CW Goat Anti-Rabbit IgG at 1/20000 dilution, Predicted band size: 35 kD, Observed band size: 37 kD.

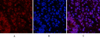
Tissue/cell: NIH/3T3 cell, 4% Paraformaldehyde-fixed, Triton X-100 at room temperature for 20 min, Blocking buffer (normal goat serum) at 37°C for 20 min, Antibody incubation with (Caspase-3) polyclonal Antibody, Unconjugated (orb10237) 1:100, 90 minutes at 37°C, followed by a FITC conjugated Goat Anti-Rabbit IgG antibody at 37°C for 90 minutes, DAPI (blue) was used to stain the cell nuclei.
Quick Database Links
UniProt Details
−Documents Download
Request a Document
Protocol Information
Filter by Applications
Filter by Species
M Olszewska, A Malcher, T Stokowy, N Pollock, AJ Berman, S Budkiewicz, M Kamieniczna Effects of Tcte1 knockout on energy chain transportation and spermatogenesis: implications for male infertility Human Reproduction Open, (2024)
Applications
Reactivity
Babaeenezhad, Esmaeel et al. D-Limonene Alleviates Acute Kidney Injury Following Gentamicin Administration in Rats: Role of NF-κB Pathway, Mitochondrial Apoptosis, Oxidative Stress, and PCNA Oxid Med Cell Longev, 2021, 6670007 (2021)
Caro-Astorga, Joaquín et al. Nascent histamine induces α-synuclein and caspase-3 on human cells Biochem Biophys Res Commun, 451, 580-586 (2014)
Oskoueian, Ehsan et al. Cytoprotective effect of palm kernel cake phenolics against aflatoxin B1-induced cell damage and its underlying mechanism of action BMC Complement Altern Med, 15, 392 (2015)
Oskoueian, Ehsan et al. Phorbol esters isolated from Jatropha meal induced apoptosis-mediated inhibition in proliferation of chang and Vero cell lines Int J Mol Sci, 13, 13816-13829 (2012)
Oskoueian, Ehsan et al. Phorbol esters from Jatropha meal triggered apoptosis, activated PKC-δ, caspase-3 proteins and down-regulated the proto-oncogenes in MCF-7 and HeLa cancer cell lines Molecules, 17, 10816-10830 (2012)
Caspase-3 Rabbit Polyclonal Antibody (orb10237)
Participating in our Biorbyt product reviews program enables you to support fellow scientists by sharing your firsthand experience with our products.
Login to Submit a Review


























