You have no items in your shopping cart.
Caspase-6 (phospho Ser257) rabbit pAb Antibody
Description
Images & Validation
−| Tested Applications | ELISA, IF, IHC, WB |
|---|---|
| Dilution Range | Western Blot: 1/500 - 1/2000. Immunohistochemistry: 1/100 - 1/300. Immunofluorescence: 1/200 - 1/1000. ELISA: 1/20000. Not yet tested in other applications. |
| Reactivity | Human, Mouse, Rat |
Key Properties
−| Clonality | Polyclonal |
|---|---|
| Isotype | IgG |
| Immunogen | The antiserum was produced against synthesized peptide derived from human Caspase 6 around the phosphorylation site of Ser257. AA range:223-272 |
| Molecular Weight | 15,30 |
| Purification | The antibody was affinity-purified from rabbit antiserum by affinity-chromatography using epitope-specific immunogen. |
| Conjugation | Unconjugated |
Storage & Handling
−| Storage | Maintain refrigerated at 2-8°C for up to 2 weeks. For long term storage store at -20°C in small aliquots to prevent freeze-thaw cycles. |
|---|---|
| Buffer/Preservatives | PBS with 0.02% sodium azide and 50% glycerol pH 7.4. |
| Concentration | 1 mg/ml |
| Expiration Date | 12 months from date of receipt. |
| Disclaimer | For research use only |
Alternative Names
−Similar Products
−phospho-Caspase 6 (Ser257) Rabbit pAb, AE conjugated [orb2861409]
ELISA
Human, Rat
Mouse
Rabbit
Polyclonal
AE
100 μlphospho-Caspase 6 (Ser257) Rabbit pAb, Pacific Blue conjugated [orb2861410]
FC
Human, Rat
Mouse
Rabbit
Polyclonal
Pacific Blue
100 μlphospho-Caspase 6 (Ser257) Rabbit pAb, BF700 conjugated [orb2861411]
FC
Human, Rat
Mouse
Rabbit
Polyclonal
BF700
100 μl

Quality Guarantee
Explore bioreagents carefree to elevate your research. All our products are rigorously tested for performance. If a product does not perform as described on its datasheet, our scientific support team will provide expert troubleshooting, a prompt replacement, or a refund. For full details, please see our Terms & Conditions and Buying Guide. Contact us at support@biorbyt.com.

Western Blot analysis of 293T cells using Phospho-Caspase-6 (S257) Polyclonal Antibody diluted at 1:1000.

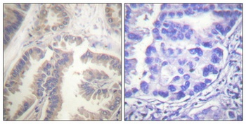
Immunohistochemical analysis of paraffin-embedded Human lung cancer. Antibody was diluted at 1:100 (4°C overnight). High-pressure and temperature Tris-EDTA, pH8.0 was used for antigen retrieval. Negetive contrl (right) obtaned from antibody was pre-absorbed by immunogen peptide.

Immunofluorescence analysis of HUVEC cells, using Caspase 6 (Phospho-Ser257) Antibody. The picture on the right is blocked with the phospho peptide.

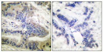
Immunohistochemistry analysis of paraffin-embedded human colon carcinoma, using Caspase 6 (Phospho-Ser257) Antibody. The picture on the right is blocked with the phospho peptide.
Quick Database Links
UniProt Details
−Documents Download
Request a Document
Protocol Information
Caspase-6 (phospho Ser257) rabbit pAb Antibody (orb770593)
Participating in our Biorbyt product reviews program enables you to support fellow scientists by sharing your firsthand experience with our products.
Login to Submit a Review