You have no items in your shopping cart.
Description
Research Area
Images & Validation
−| Tested Applications | IF, IHC, WB |
|---|---|
| Dilution Range | Western Blot 1:500 - 1:2000, Immunofluorescence 1:200 – 1:500, Immunohistochemistry (Paraffin) 1:200 – 1:300 |
| Reactivity | Human |
Key Properties
−| Antibody Type | Primary Antibody |
|---|---|
| Host | Rabbit |
| Clonality | Polyclonal |
| Isotype | Rabbit-IgG |
| Immunogen | Synthetic peptide / encompassing a sequence within the center region |
| Target | Caspase-8 Cleaved |
| Conjugation | Unconjugated |
Storage & Handling
−| Storage | Maintain refrigerated at 2-8°C for up to 2 weeks. For long term storage store at -20°C in small aliquots to prevent freeze-thaw cycles. |
|---|---|
| Buffer/Preservatives | 100mM Tris Glycine, 20% Glycerol (pH7). 0.025% ProClin 300 was added as a preservative |
| Expiration Date | 12 months from date of receipt. |
| Disclaimer | For research use only |
Similar Products
−Cleaved-Caspase-8 (D384) Polyclonal Antibody [orb1416163]
IF, IHC-P, WB
Human
Rabbit
Polyclonal
Unconjugated
100 μlCaspase 8 (Cleaved-D384) Rabbit Polyclonal Antibody [orb515437]
WB
Human, Mouse, Rat
Rabbit
Polyclonal
Unconjugated
30 μl, 100 μl, 200 μl, 50 μlCleaved-Caspase-8 (D384) rabbit pAb Antibody [orb763882]
ELISA, IF, IHC, WB
Human, Mouse, Rat
Polyclonal
Unconjugated
100 μl, 50 μlCleaved-Caspase-8 p18 (S217) Polyclonal Antibody [orb1411083]
WB
Human
Rabbit
Polyclonal
Unconjugated
100 μl

Quality Guarantee
Explore bioreagents carefree to elevate your research. All our products are rigorously tested for performance. If a product does not perform as described on its datasheet, our scientific support team will provide expert troubleshooting, a prompt replacement, or a refund. For full details, please see our Terms & Conditions and Buying Guide. Contact us at support@biorbyt.com.

Caspase 8 antibody - at 1/1000 dilution, Lysates at 50 µg per lane. This blot was produced using a 12% SDS-PAGE. Nitrocellulose membrane was then blocked for an hour before being incubated with orb1294354 overnight at 4°C.

Caspase 8 antibody - at 1/1000 dilution. Lysates at 50 µg per lane. This blot was produced using a 12% SDS-PAGE. Nitrocellulose membrane was then blocked for an hour before being incubated with orb1294354 overnight at 4°C.

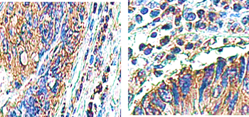
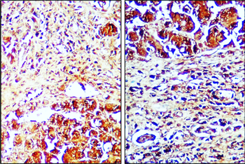
Immunohistochemical of Paraffin-embedded. Sample: Human colon cancer. Caspase 8 antibody (orb1294354): 1-200.

Immunofluorescence: cells were fixed with 4% paraformaldehyde for 10 min at RT, permeabilized with 0.1% NP-40 for 10 min at RT then blocked with 5% BSA for 30 min at room temperature. Cells were stained with orb1294354 anti-Caspase 8 antibody (red) at 1:150 and 4°C. DAPI (blue) was used as the nuclear counter stain.

immunohistochemical analysis of paraffin embedded Human cancer tissue labeling Caspase 8 with orb1294354 at 1/200.
Quick Database Links
Documents Download
Request a Document
Protocol Information
Caspase-8 Cleaved Rabbit Polyclonal Antibody (orb1294354)
Participating in our Biorbyt product reviews program enables you to support fellow scientists by sharing your firsthand experience with our products.
Login to Submit a Review










