You have no items in your shopping cart.
Catenin-β (Phospho-Ser37) Antibody
Description
Research Area
Images & Validation
−| Tested Applications | IHC, WB |
|---|---|
| Dilution Range | WB: 1:500-1:3000, IHC-P: 1:50-1:100, ELISA: 1:40000 |
| Reactivity | Human, Mouse, Rat |
Key Properties
−| Host | Rabbit |
|---|---|
| Clonality | Polyclonal |
| Immunogen | N-terminal |
| Conjugation | Unconjugated |
Storage & Handling
−| Storage | Maintain refrigerated at 2-8°C for up to 2 weeks. For long term storage store at -20°C in small aliquots to prevent freeze-thaw cycles. |
|---|---|
| Concentration | 1mg/ml |
| Expiration Date | 12 months from date of receipt. |
| Disclaimer | For research use only |
Alternative Names
−Similar Products
−Catenin-β (phospho Ser37) rabbit pAb Antibody [orb764152]
ELISA, IF, IHC, WB
Human, Mouse, Rat
Polyclonal
Unconjugated
100 μlPhospho-beta Catenin (Ser37) Rabbit Polyclonal Antibody (FITC) [orb502850]
FC, IF
Gallus, Porcine, Rabbit
Human, Mouse, Rat
Rabbit
Polyclonal
FITC
100 μlPhospho-beta Catenin (Ser37) Rabbit Polyclonal Antibody (FITC) [orb502721]
IF
Bovine, Canine, Gallus, Human, Porcine, Rabbit, Sheep
Mouse, Rat
Rabbit
Polyclonal
FITC
100 μlPhospho-beta Catenin (Ser37) Rabbit Polyclonal Antibody (HRP) [orb503720]
IHC-Fr, IHC-P
Bovine, Canine, Gallus, Human, Porcine, Rabbit, Sheep
Mouse, Rat
Rabbit
Polyclonal
HRP
100 μlPhospho-beta Catenin (Ser37) Rabbit Polyclonal Antibody (Biotin) [orb501830]
IF, IHC-Fr, IHC-P
Bovine, Canine, Gallus, Human, Porcine, Rabbit, Sheep
Mouse, Rat
Rabbit
Polyclonal
Biotin
100 μl

Quality Guarantee
Explore bioreagents carefree to elevate your research. All our products are rigorously tested for performance. If a product does not perform as described on its datasheet, our scientific support team will provide expert troubleshooting, a prompt replacement, or a refund. For full details, please see our Terms & Conditions and Buying Guide. Contact us at support@biorbyt.com.

Western blot analysis of 293 cells using β-Catenin (phospho-Ser37) antibody.

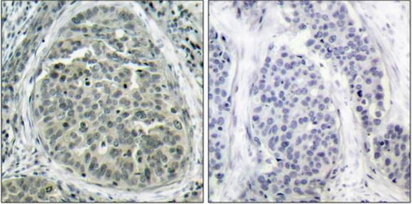
Immunohistochemical analysis of human breast carcinoma tissue using β-Catenin (phospho-Ser37) antibody.
Quick Database Links
UniProt Details
−Documents Download
Request a Document
Protocol Information
Magarò, Maria Sara et al. Identification of Sclerostin as a Putative New Myokine Involved in the Muscle-to-Bone Crosstalk Biomedicines, 9, 71 (2021)
Catenin-β (Phospho-Ser37) Antibody (orb222964)
Participating in our Biorbyt product reviews program enables you to support fellow scientists by sharing your firsthand experience with our products.
Login to Submit a Review



