You have no items in your shopping cart.
CCDC59 Antibody
Description
Images & Validation
−| Tested Applications | IF, IHC, WB |
|---|---|
| Reactivity | Human, Mouse, Rat |
| Application Notes |
Key Properties
−| Antibody Type | Primary Antibody |
|---|---|
| Host | Rabbit |
| Clonality | Polyclonal |
| Isotype | IgG |
| Immunogen | Recombinant fusion protein containing a sequence corresponding to amino acids 1-241 of human CCDC59 (NP_054886.2). |
| Target | CCDC59 |
| Molecular Weight | Observed: 29kDa |
| Purification | Affinity purification |
| Conjugation | Unconjugated |
Storage & Handling
−| Storage | Maintain refrigerated at 2-8°C for up to 2 weeks. For long term storage store at -20°C in small aliquots to prevent freeze-thaw cycles. |
|---|---|
| Form/Appearance | Liquid |
| Buffer/Preservatives | PBS with 0.02% sodium azide, 50% glycerol, pH 7.3. |
| Concentration | batch dependent |
| Expiration Date | 12 months from date of receipt. |
| Disclaimer | For research use only |
Alternative Names
−Similar Products
−CCDC59 Rabbit Polyclonal Antibody [orb666206]
IF, IHC, WB
Human, Mouse, Rat
Rabbit
Polyclonal
Unconjugated
200 μl, 100 μl, 50 μl, 30 μlCCDC59 Rabbit Polyclonal Antibody [orb326661]
WB
Bovine, Canine, Equine, Guinea pig, Mouse, Porcine, Rabbit, Rat
Human
Rabbit
Polyclonal
Unconjugated
100 μlCcdc59 Rabbit Polyclonal Antibody [orb326662]
WB
Bovine, Canine, Equine, Guinea pig, Human, Porcine, Rabbit, Rat, Yeast
Mouse
Rabbit
Polyclonal
Unconjugated
100 μlTAP26/CCDC59 Rabbit Polyclonal Antibody [orb186256]
WB
Bovine, Equine, Porcine, Rabbit, Sheep
Human, Mouse, Rat
Rabbit
Polyclonal
Unconjugated
50 μl, 100 μl, 200 μl

Quality Guarantee
Explore bioreagents carefree to elevate your research. All our products are rigorously tested for performance. If a product does not perform as described on its datasheet, our scientific support team will provide expert troubleshooting, a prompt replacement, or a refund. For full details, please see our Terms & Conditions and Buying Guide. Contact us at support@biorbyt.com.

Western blot analysis of extracts of various cell lines, using CCDC59 antibody (orb1259969) at 1:1000 dilution. Secondary antibody: HRP Goat Anti-Rabbit IgG (H+L) at 1:10000 dilution. Lysates/proteins: 25 ug per lane. Blocking buffer: 3% nonfat dry milk in TBST. Detection: ECL Basic Kit. Exposure time: 15s.

Immunohistochemistry of paraffin-embedded rat liver using CCDC59 antibody (orb1259969) at dilution of 1:100 (40x lens).

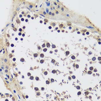
Immunohistochemistry of paraffin-embedded rat testis using CCDC59 antibody (orb1259969) at dilution of 1:100 (40x lens).

Immunohistochemistry of paraffin-embedded rat brain using CCDC59 antibody (orb1259969) at dilution of 1:100 (40x lens).

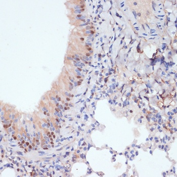
Immunohistochemistry of paraffin-embedded human lung using CCDC59 antibody (orb1259969) at dilution of 1:100 (40x lens).

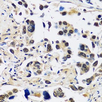
Immunohistochemistry of paraffin-embedded human lung cancer using CCDC59 antibody (orb1259969) at dilution of 1:100 (40x lens).

Immunohistochemistry of paraffin-embedded human colon using CCDC59 antibody (orb1259969) at dilution of 1:100 (40x lens).

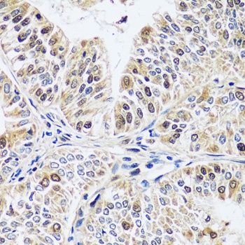
Immunohistochemistry of paraffin-embedded human uterine cancer using CCDC59 antibody (orb1259969) at dilution of 1:100 (40x lens).

Immunofluorescence analysis of NIH-3T3 cells using CCDC59 antibody (orb1259969) at dilution of 1:100. Blue: DAPI for nuclear staining.

Immunofluorescence analysis of HeLa cells using ESRRA antibody (orb1260061) at dilution of 1:100. Blue: DAPI for nuclear staining.
Quick Database Links
UniProt Details
−Documents Download
Request a Document
Protocol Information
CCDC59 Antibody (orb1259969)
Participating in our Biorbyt product reviews program enables you to support fellow scientists by sharing your firsthand experience with our products.
Login to Submit a Review






