You have no items in your shopping cart.
CCL18 Rabbit Polyclonal Antibody
Description
Research Area
Images & Validation
−| Tested Applications | IHC, WB |
|---|---|
| Reactivity | Human |
| Predicted Reactivity | Human |
Key Properties
−| Host | Rabbit |
|---|---|
| Clonality | Polyclonal |
| Immunogen | The immunogen is a synthetic peptide directed towards the middle region of human CCL18 |
| Target | CCL18 |
| Protein Sequence | Synthetic peptide located within the following region: PQKFIVDYSETSPQCPKPGVILLTKRGRQICADPNKKWVQKYISDLKLNA |
| Molecular Weight | 10kDa |
| Purification | Affinity Purified |
| Conjugation | Unconjugated |
Storage & Handling
−| Storage | Maintain refrigerated at 2-8°C for up to 2 weeks. For long term storage store at -20°C in small aliquots to prevent freeze-thaw cycles. |
|---|---|
| Buffer/Preservatives | Liquid. Purified antibody supplied in 1x PBS buffer with 0.09% (w/v) sodium azide and 2% sucrose. |
| Concentration | 0.5 mg/ml |
| Expiration Date | 12 months from date of receipt. |
| Disclaimer | For research use only |
Alternative Names
−Similar Products
−AAMP CCL18 Rabbit Polyclonal Antibody [orb215878]
FC, IHC, WB
Human, Mouse, Rat
Rabbit
Polyclonal
Unconjugated
100 μgCCL18 Rabbit Polyclonal Antibody [orb13576]
IF, IHC-Fr, IHC-P
Human
Mouse
Rabbit
Polyclonal
Unconjugated
200 μl, 50 μl, 100 μlMacrophage Inflammatory Protein 4/CCL18 Rabbit Polyclonal Antibody [orb180721]
ELISA, WB
Human
Rabbit
Polyclonal
Unconjugated
100 μgCCL18/PARC/MIP-4 Rabbit Polyclonal Antibody [orb2954434]
ELISA, IHC, WB
Human, Monkey
Rabbit
Polyclonal
Unconjugated
50 μg, 100 μgCCL18 Rabbit Polyclonal Antibody [orb665879]
WB
Human, Mouse, Rat
Rabbit
Polyclonal
Unconjugated
30 μl, 100 μl, 200 μl, 50 μl

Quality Guarantee
Explore bioreagents carefree to elevate your research. All our products are rigorously tested for performance. If a product does not perform as described on its datasheet, our scientific support team will provide expert troubleshooting, a prompt replacement, or a refund. For full details, please see our Terms & Conditions and Buying Guide. Contact us at support@biorbyt.com.

Sample Tissue: Human HT1080 Whole Cell, Antibody Dilution: 1 ug/ml.

Sample Type: Fetal Lung lysates, Antibody Dilution: 0.5 ug/ml.

Sample Type: Fetal Lung lysates, Antibody Dilution: 1.0 ug/ml.

Sample Type: Fetal Lung lysates, Antibody Dilution: 1.0 ug/ml.

Positive control (+): Human lung (LU), Negative control (-): HepG2 (HG), Antibody concentration: 1 ug/ml.

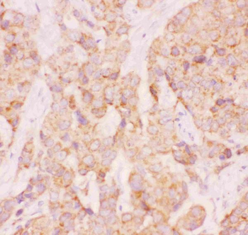
Human Intestine
Documents Download
Request a Document
Protocol Information
CCL18 Rabbit Polyclonal Antibody (orb592730)
Participating in our Biorbyt product reviews program enables you to support fellow scientists by sharing your firsthand experience with our products.
Login to Submit a Review









