You have no items in your shopping cart.
CCR3 Antibody
Description
Research Area
Images & Validation
−| Tested Applications | ELISA, IF, IHC-P, WB |
|---|---|
| Reactivity | Human, Mouse, Rat |
| Application Notes |
Key Properties
−| Antibody Type | Primary Antibody |
|---|---|
| Host | Rabbit |
| Clonality | Polyclonal |
| Isotype | IgG |
| Immunogen | CCR3 antibody was raised against a 14 amino acid synthetic peptide from near the carboxy terminus of human CCR3.The immunogen is located within the last 50 amino acids of CCR3. |
| Target | CCR3 |
| Molecular Weight | Predicted: 39, 41 kDa Observed: 52 kDa |
| Purification | CCR3 Antibody is affinity chromatography purified via peptide column. |
| Conjugation | Unconjugated |
Storage & Handling
−| Storage | Maintain refrigerated at 2-8°C for up to 2 weeks. For long term storage store at -20°C in small aliquots to prevent freeze-thaw cycles. |
|---|---|
| Form/Appearance | Liquid |
| Buffer/Preservatives | CCR3 Antibody is supplied in PBS containing 0.02% sodium azide. |
| Concentration | 1 mg/mL |
| Expiration Date | 12 months from date of receipt. |
| Disclaimer | For research use only |
Alternative Names
−Similar Products
−Human Chemokine C-C-Motif Receptor 3 (CCR3) ELISA Kit [orb776844]
Human
31.25-2000 pg/mL
13.4 pg/mL
48 T, 96 TCKR-3 rabbit pAb Antibody [orb766894]
ELISA, IF, IHC, WB
Human, Mouse, Rat
Polyclonal
Unconjugated
100 μl, 50 μlCCR3 Rabbit Polyclonal Antibody [orb10272]
IF, IHC-Fr, IHC-P
Bovine, Canine, Mouse
Human, Rat
Rabbit
Polyclonal
Unconjugated
200 μl, 50 μl, 100 μl

Quality Guarantee
Explore bioreagents carefree to elevate your research. All our products are rigorously tested for performance. If a product does not perform as described on its datasheet, our scientific support team will provide expert troubleshooting, a prompt replacement, or a refund. For full details, please see our Terms & Conditions and Buying Guide. Contact us at support@biorbyt.com.

Western blot analysis of CCR3 in human spleen tissue lysates with CCR3 antibody at 1 (lane 1) and 2 µg/mL (lane 2), and 2 µg/mL in the presence of blocking peptide (lane 3).

Immunofluorescence of CCR3 in Human Spleen tissue with CCR3 antibody at 20 µg/mL.

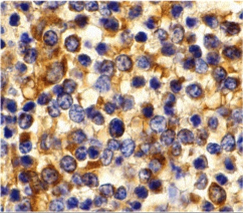
Immunohistochemistry of CCR3 in human spleen tissue with CCR3 antibody at 10 µg/mL.
Documents Download
Request a Document
Protocol Information
CCR3 Antibody (orb1240017)
Participating in our Biorbyt product reviews program enables you to support fellow scientists by sharing your firsthand experience with our products.
Login to Submit a Review










