You have no items in your shopping cart.
CD110 Polyclonal Antibody
SKU: orb1411302
Description
Research Area
Epigenetics
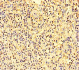
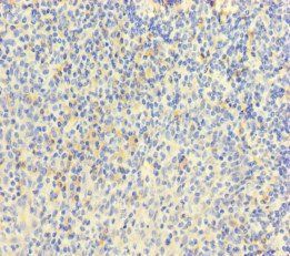
Images & Validation
−Item 1 of 3
| Tested Applications | IHC-P, WB |
|---|---|
| Dilution Range | WB: Western Blot: 1/500 - 1/2000. IHC-p: 1/100-1/300. ELISA: 1/20000. Not yet tested in other applications. |
| Reactivity | Human, Mouse, Rat |
Key Properties
−| Host | Rabbit |
|---|---|
| Clonality | Polyclonal |
| Conjugation | Unconjugated |
Storage & Handling
−| Storage | Maintain refrigerated at 2-8°C for up to 2 weeks. For long term storage store at -20°C in small aliquots to prevent freeze-thaw cycles |
|---|---|
| Expiration Date | 12 months from date of receipt. |
| Disclaimer | For research use only |
Alternative Names
−MPL; TPOR; Thrombopoietin receptor; TPO-R; Myeloproliferative leukemia protein; Proto-oncogene c-Mpl; CD110
Similar Products
−CD110 rabbit pAb Antibody [orb767074]
ELISA, IF, IHC, WB
Human, Mouse, Rat
Polyclonal
Unconjugated
50 μl, 100 μlTPOR Rabbit Polyclonal Antibody [orb158639]
FC, WB
Canine, Rat, Sheep
Human, Mouse
Rabbit
Polyclonal
Unconjugated
50 μl, 100 μl, 200 μlTPOR Rabbit Polyclonal Antibody (APC) [orb1009572]
FC
Canine, Rat, Sheep
Human, Mouse
Rabbit
Polyclonal
APC
100 μl

Quality Guarantee
Explore bioreagents carefree to elevate your research. All our products are rigorously tested for performance. If a product does not perform as described on its datasheet, our scientific support team will provide expert troubleshooting, a prompt replacement, or a refund. For full details, please see our Terms & Conditions and Buying Guide. Contact us at support@biorbyt.com.



Quick Database Links
UniProt
UniProt Details
− No UniProt data available
Documents Download
Datasheet
Product Information
Request a Document
Protocol Information
WB
Western Blot (IB, immunoblot)
IHC-P
Immunohistochemistry Paraffin
CD110 Polyclonal Antibody (orb1411302)
Based on 0 reviews
Participating in our Biorbyt product reviews program enables you to support fellow scientists by sharing your firsthand experience with our products.
Login to Submit a Review








