You have no items in your shopping cart.
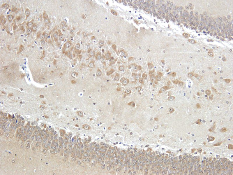
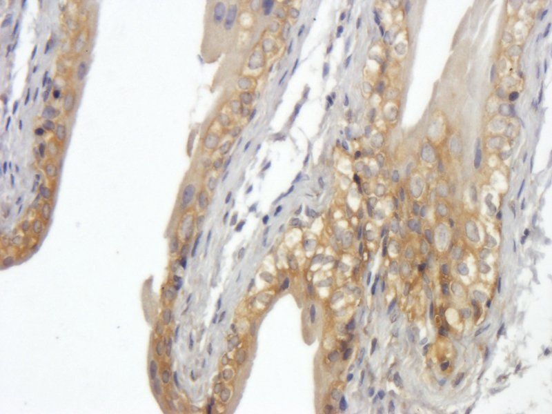
CD11b Antibody
SKU: orb1463129
Description
Images & Validation
−Item 1 of 1
| Tested Applications | IHC-P |
|---|---|
| Dilution Range | IHC-P: Ready-to-use |
| Reactivity | Human |
Key Properties
−| Antibody Type | Primary Antibody |
|---|---|
| Host | Rabbit |
| Clonality | Monoclonal |
| Clone No. | 263B4D2 |
| Molecular Weight | 127179 Da |
| Conjugation | Unconjugated |
Storage & Handling
−| Storage | Maintain refrigerated at 2-8°C for up to 2 weeks. For long term storage store at -20°C in small aliquots to prevent freeze-thaw cycles |
|---|---|
| Expiration Date | 12 months from date of receipt. |
| Disclaimer | For research use only |
Alternative Names
−Integrin alpha-M, CD11 antigen-like family member B, CR-3 alpha chain, Cell surface glycoprotein MAC-1 subunit alpha, Leukocyte adhesion receptor MO1, Neutrophil adherence receptor, CD11b, ITGAM, CD11B, CR3A
Similar Products
−CD11b Rabbit Polyclonal Antibody [orb11009]
WB
Porcine
Human, Mouse, Rat
Rabbit
Polyclonal
Unconjugated
100 μl, 50 μl, 200 μlCD11b Antibody (N-term) [orb1938809]
FC, IHC-P, WB
Human, Mouse
Rabbit
Polyclonal
Unconjugated
100 μl, 50 μlCD11b Recombinant Rabbit Monoclonal Antibody [orb1727972]
IF, IHC-Fr, IHC-P, WB
Human
Rabbit
Recombinant
Unconjugated
25 μl, 50 μl, 100 μl

Quality Guarantee
Explore bioreagents carefree to elevate your research. All our products are rigorously tested for performance. If a product does not perform as described on its datasheet, our scientific support team will provide expert troubleshooting, a prompt replacement, or a refund. For full details, please see our Terms & Conditions and Buying Guide. Contact us at support@biorbyt.com.

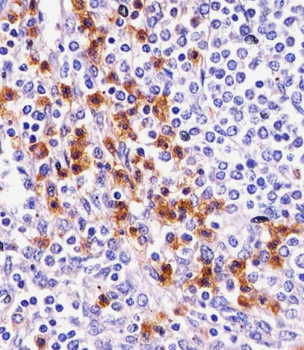
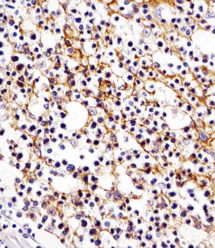
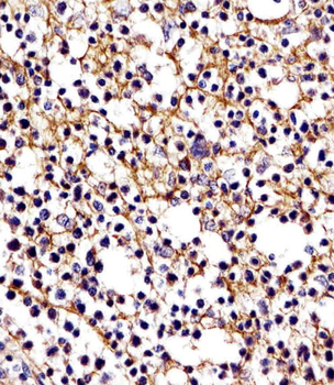
Colon cancer
Documents Download
Datasheet
Product Information
Request a Document
CD11b Antibody (orb1463129)
Based on 0 reviews
Participating in our Biorbyt product reviews program enables you to support fellow scientists by sharing your firsthand experience with our products.
Login to Submit a Review
























