You have no items in your shopping cart.
CD15 antibody
Description
Images & Validation
−| Tested Applications | ELISA, IHC-P, WB |
|---|---|
| Dilution Range | WB: 1:100-500, IHC-P: 1:100-500 (based on 0.5 mg/ml) |
| Reactivity | Mouse, Rat |
Key Properties
−| Host | Rabbit |
|---|---|
| Clonality | Polyclonal |
| Isotype | IgG |
| Immunogen | KLH conjugated synthetic peptide derived from human CD15. Please contact us for the exact immunogen sequence. The peptide is available as orb374903. |
| Target | CD15 |
| Molecular Weight | 59 kDa |
| Purity | Polyclonal antibodies are purified by peptide affinity chromatography |
| Conjugation | Unconjugated |
Storage & Handling
−| Storage | Maintain refrigerated at 2-8°C for up to 2 weeks. For long term storage store at -20°C in small aliquots to prevent freeze-thaw cycles. |
|---|---|
| Form/Appearance | 10 mM PBS, 0.02% sodium azide |
| Concentration | - 100 μg (in 100 μl): 1 mg/ml- 200 μg (in 200 μl): 1 mg/ml |
| Expiration Date | 12 months from date of receipt. |
| Disclaimer | For research use only |
Similar Products
−FUT4 Rabbit Polyclonal Antibody [orb11420]
FC, IF, IHC-Fr, IHC-P, WB
Rat
Human, Mouse
Rabbit
Polyclonal
Unconjugated
200 μl, 50 μl, 100 μlCD15/ Lewis X antigen/ alpha-(1,3)-fucosyltransferase 4 Antibody [orb181771]
FC, ICC, IHC-Fr, IHC-P
Human
Mouse
Monoclonal
Unconjugated
0.1 mg

Quality Guarantee
Explore bioreagents carefree to elevate your research. All our products are rigorously tested for performance. If a product does not perform as described on its datasheet, our scientific support team will provide expert troubleshooting, a prompt replacement, or a refund. For full details, please see our Terms & Conditions and Buying Guide. Contact us at support@biorbyt.com.

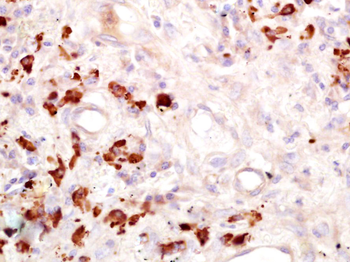
IHC-P image of rat stomach tissue using CD15 antibody (2.5 ug/ml)

Immunohistochemical staining of paraffin embedded mouse lymph node tissue using anti-CD15 (2.5 ug/ml)

Immunohistochemical staining of mouse brain tissue using anti-CD15 (2.5 ug/ml)

Immunohistochemical staining of mouse lymph node tissue using CD15 antibody (2.5 ug/ml)

Immunohistochemical staining of paraffin embedded mouse brain tissue using CD15 antibody (2.5 ug/ml)

WB analysis of mouse stomach (lane 1), mouse brain (lane 2), mouse spleen (lane 3), mouse lymph node (lane 4) using CD15 antibody (1 ug/ml)

Immunohistochemical staining of paraffin embedded rat pancreas tissue using CD15 antibody (2.5 ug/ml)

IHC-P staining of mouse lymph node tissue using anti-CD15 (2.5 ug/ml)

IHC-P image of rat stomach tissue using CD15 antibody (2.5 ug/ml)
Quick Database Links
Documents Download
Request a Document
Protocol Information
CD15 antibody (orb315549)
Participating in our Biorbyt product reviews program enables you to support fellow scientists by sharing your firsthand experience with our products.
Login to Submit a Review









