You have no items in your shopping cart.
Recombinant CD3e Antibody
Description
Research Area
Images & Validation
−| Tested Applications | ELISA, IHC-P |
|---|---|
| Dilution Range | ELISA: order BSA-free format for coating,Immunohistochemistry (FFPE): 1-2ug/ml |
| Reactivity | Human |
| Application Notes |
Key Properties
−| Antibody Type | Primary Antibody |
|---|---|
| Host | Mouse |
| Clonality | Recombinant |
| Isotype | Mouse IgG1, kappa |
| Clone No. | rC3e/1931 |
| Immunogen | A recombinant human partial protein (amino acids 23-119) was used as the immunogen for the recombinant CD3e antibody. |
| Purification | Protein G affinity chromatography |
| Conjugation | Unconjugated |
Storage & Handling
−| Storage | Maintain refrigerated at 2-8°C for up to 2 weeks. For long term storage store at -20°C in small aliquots to prevent freeze-thaw cycles. |
|---|---|
| Buffer/Preservatives | 0.2 mg/ml in 1X PBS with 0.1 mg/ml rAlbumin and 0.05% sodium azide |
| Expiration Date | 12 months from date of receipt. |
| Disclaimer | For research use only |
Similar Products
−CD3E Recombinant Rabbit Monoclonal Antibody [orb1151965]
IF, IHC-Fr, IHC-P, WB
Mouse, Rat
Human, Mouse, Rat
Rabbit
Recombinant
Unconjugated
25 μl, 100 μl, 50 μlRabbit CD3E Recombinant Monoclonal Antibody [orb1519964]
FC, IF, IHC, IP, WB
Human
Rabbit
Recombinant
Unconjugated
100 μl, 10 μlCD3 epsilon Recombinant Rabbit Monoclonal Antibody [orb704405]
FC, IF, IHC-Fr, IHC-P, WB
Human
Rabbit
Recombinant
Unconjugated
50 μl, 100 μl

Quality Guarantee
Explore bioreagents carefree to elevate your research. All our products are rigorously tested for performance. If a product does not perform as described on its datasheet, our scientific support team will provide expert troubleshooting, a prompt replacement, or a refund. For full details, please see our Terms & Conditions and Buying Guide. Contact us at support@biorbyt.com.

IHC staining of FFPE human spleen with recombinant CD3e antibody (clone rC3e/1931). HIER: boil tissue sections in pH9 10mM Tris with 1mM EDTA for 10-20 min and allow to cool before testing.

Analysis of HuProt (TM) microarray containing more than 19000 full-length human proteins using recombinant CD3e antibody (clone rC3e/1931). These results demonstrate the foremost specificity of the rC3e/1931 mAb. Z- and S- score: The Z-score represents the strength of a signal that an antibody (in combination with a fluorescently-tagged anti-IgG secondary Ab) produces when binding to a particular protein on the HuProt (TM) array. Z-scores are described in units of standard deviations (SD's) above the mean value of all signals generated on that array. If the targets on the HuProt (TM) are arranged in descending order of the Z-score, the S-score is the difference (also in units of SD's) between the Z-scores. The S-score therefore represents the relative target specificity of an Ab to its intended target.

SDS-PAGE analysis of purified, BSA-free recombinant CD3e antibody (clone rC3e/1931) as confirmation of integrity and purity.

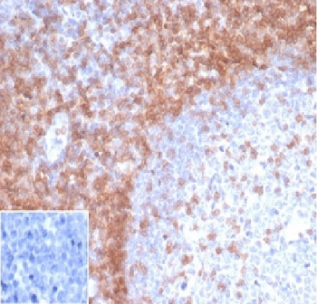
IHC staining of FFPE human tonsil with recombinant CD3e antibody (clone rC3e/1931). HIER: boil tissue sections in pH9 10mM Tris with 1mM EDTA for 10-20 min and allow to cool before testing. Negative control inset: PBS used instead of primary antibody to control for secondary Ab binding.
Quick Database Links
UniProt Details
−Documents Download
Request a Document
Protocol Information
Recombinant CD3e Antibody (orb640028)
Participating in our Biorbyt product reviews program enables you to support fellow scientists by sharing your firsthand experience with our products.
Login to Submit a Review






















