You have no items in your shopping cart.
PECAM-1 Antibody / CD31
Description
Images & Validation
−| Tested Applications | IHC-P |
|---|---|
| Dilution range | The prediluted format is supplied in a dropper bottle and is optimized for use in IHC. After epitope retrieval step (if required), drip mAb solution onto the tissue section and incubate at RT for 30 min. |
| Reactivity | Human |
| Application Notes |
Key Properties
−| Antibody Type | Primary Antibody |
|---|---|
| Host | Mouse |
| Clonality | Monoclonal |
| Isotype | Mouse IgG1, kappa |
| Clone No. | C31.7 |
| Immunogen | Human recombinant PECAM-1 / CD31 protein was used as the immunogen for this antibody. |
| Purification | Protein G affinity chromatography |
| Conjugation | Unconjugated |
Storage & Handling
−| Storage | Maintain refrigerated at 2-8°C for up to 2 weeks. For long term storage store at -20°C in small aliquots to prevent freeze-thaw cycles. |
|---|---|
| Disclaimer | For research use only |
Similar Products
−Recombinant PECAM-1 Antibody / CD31 [orb2635751]
IHC-P
Human
Rabbit
Recombinant
Unconjugated
100 μg, 20 μg

Quality Guarantee
Explore bioreagents carefree to elevate your research. All our products are rigorously tested for performance. If a product does not perform as described on its datasheet, our scientific support team will provide expert troubleshooting, a prompt replacement, or a refund. For full details, please see our Terms & Conditions and Buying Guide. Contact us at support@biorbyt.com.

IHC staining of colon carcinoma with PECAM-1 antibody (clone C31.7). Note cell membrane staining of endothelial cells.

IHC staining of angiosarcoma with PECAM-1 antibody (clone C31.7).

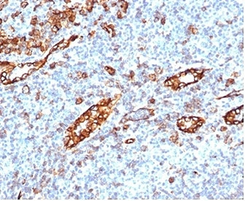
IHC staining of tonsil tissue with PECAM-1 antibody (clone C31.7).

SDS-PAGE Analysis of Purified, BSA-Free PECAM-1 Antibody (clone C31.7). Confirmation of Integrity and Purity of the Antibody.
Documents Download
Request a Document
PECAM-1 Antibody / CD31 (orb2637882)
Participating in our Biorbyt product reviews program enables you to support fellow scientists by sharing your firsthand experience with our products.
Login to Submit a Review






















